| UNIPROT | P78324 |
| Иммуноген | Рекомбинантный белок human SIRP alpha |
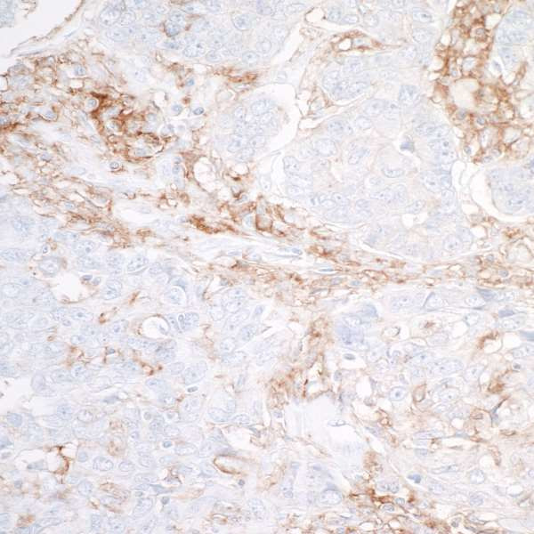
SIRP alpha Recombinant Rabbit mAb (ARM2257)
Реактивность подтвержденная:
человек
Источник (хозяин):
кролик
Валидировано для:
FCM
IHC
WB
IF
ICC
Характеристики
Техническое описание
| Каталожный номер | ARM2257 |
| Название антигена | Signal Regulatory Protein Alpha (SIRPa) |
| UNIPROT | P78324 |
| Иммуноген | Рекомбинантный белок human SIRP alpha |
| Английские синонимы | CD172a, CD 172a, CD-172a, SIRP-A, P84, BIT, MFR, MYD1, PTPNS1, SHPS1, SIRP, Tyrosine-Protein Phosphatase Non-Receptor Type Substrate 1, Macrophage fusion receptor |
Реактивность подтвержденная Нужна другая реактивность? |
человек |
| Источник (хозяин) | кролик |
| Изотип | IgG |
| Клональность | моноклональное |
| Рекомбинантное | да |
| Готовое к использованию | нет |
| Концентрация | 1 мг/мл |
| Конъюгат | По запросу: HRP, biotin, Cy3, Cy5, APC, AF488, AF594, AF405 |
| Валидировано для | FCM IHC WB IF ICC Проточная цитометрия; Иммуногистохимия; Вестерн-блоттинг; Иммунофлуоресценция; Иммуноцитохимия |
| Рекомендуемые разведения | WB 1:500~1:2000; IHC 1:50~1:200; IF/ICC 1:50~1:200; FCM 1:50 |
| Метод очистки | Антигенспецифическая аффинная хроматография |
| Состав буфера | 50 нмоль Tris-Glycine(pH 7.4); 0.15M NaCl; 40% глицерин; 0.01% азид натрия и 0.05% БСА |
| Условия доставки | термобокс с аккумуляторами холода |
| Условия хранения | Сразу после получения аликвотировать и хранить при -20ºС до 12 месяцев с момента получения. Избегать повторения циклов замерзания/оттаивания |
| Срок хранения | 12 месяцев |
| Производитель | AssayVector |
|
Артикул
|
Наименование |
Производитель
|
|---|
|
Артикул
|
Наименование |
Производитель
|
|---|
|
Артикул
|
Наименование |
Производитель
|
|---|
|
Артикул
|
Наименование |
Производитель
|
|---|
|
Артикул
|
Наименование |
Производитель
|
|---|
Акции и предложения
Популярные продукты:
Porcine Pre Albumin ELISA kit (E07P0054)
Организм: свинья
Диапазон определения: 5-100 нг/мл
Чувствительность: 1 нг/мл
Диапазон определения: 5-100 нг/мл
Чувствительность: 1 нг/мл
KLF10 Polyclonal Antibody (E-AB-64491)
Источник (хозяин): кролик
Реактивность подтвержденная: мышь, крыса
Валидировано для: WB
Реактивность подтвержденная: мышь, крыса
Валидировано для: WB
SIRP alpha Recombinant Rabbit mAb (ARM2257)
Источник (хозяин): кролик
Реактивность подтвержденная: человек
Валидировано для: FCM, IHC, WB, IF, ICC
Реактивность подтвержденная: человек
Валидировано для: FCM, IHC, WB, IF, ICC
MEK1 Antibody (AF7846)
Источник (хозяин): кролик
Реактивность подтвержденная: человек, мышь, крыса, обезьяна
Валидировано для: WB
Реактивность подтвержденная: человек, мышь, крыса, обезьяна
Валидировано для: WB
OVA Conjugated androstenedione (ASD) (CPA456Ge21)
Организм: для всех
Теги: N-концевой His-Tag
Биоактивность: нет
Теги: N-концевой His-Tag
Биоактивность: нет
OR5D3 Mouse Monoclonal Antibody (BF9376)
Источник (хозяин): мышь
Реактивность подтвержденная: человек, мышь
Валидировано для: WB
Реактивность подтвержденная: человек, мышь
Валидировано для: WB

