| UNIPROT | Q9NTG7 |
| Иммуноген | Синтетический пептид, соответствующий human SIRT3 |
SIRT3 Recombinant Rabbit mAb (ARM1425)
Реактивность подтвержденная:
человек
Источник (хозяин):
кролик
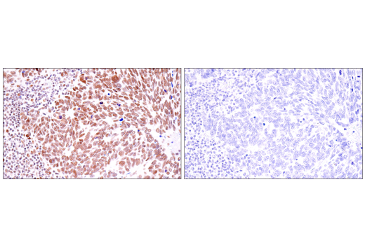
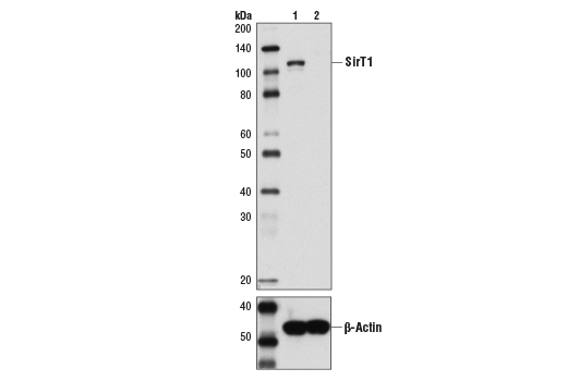
Валидировано для:
IHC
WB
Характеристики
Техническое описание
| Каталожный номер | ARM1425 |
| Название антигена | Sirtuin 3 (SIRT3) |
| UNIPROT | Q9NTG7 |
| Иммуноген | Синтетический пептид, соответствующий human SIRT3 |
| Английские синонимы | SIR2L3, Silent Mating Type Information Regulation 2 Homolog 3, NAD-dependent protein deacetylase sirtuin-3, mitochondrial, SIR2-like protein 3, Regulatory protein SIR2 homolog 3 |
Реактивность подтвержденная Нужна другая реактивность? |
человек |
| Источник (хозяин) | кролик |
| Изотип | IgG |
| Клональность | моноклональное |
| Рекомбинантное | да |
| Готовое к использованию | нет |
| Концентрация | 1 мг/мл |
| Конъюгат | По запросу: HRP, biotin, Cy3, Cy5, APC, AF488, AF594, AF405 |
| Валидировано для | IHC WB Иммуногистохимия; Вестерн-блоттинг |
| Рекомендуемые разведения | WB 1:500~1:2000; IHC 1:50~1:200 |
| Метод очистки | Антигенспецифическая аффинная хроматография |
| Состав буфера | 50 нмоль Tris-Glycine(pH 7.4); 0.15M NaCl; 40% глицерин; 0.01% азид натрия и 0.05% БСА |
| Условия доставки | термобокс с аккумуляторами холода |
| Условия хранения | Сразу после получения аликвотировать и хранить при -20ºС до 12 месяцев с момента получения. Избегать повторения циклов замерзания/оттаивания |
| Срок хранения | 12 месяцев |
| Производитель | AssayVector |
|
Артикул
|
Наименование |
Производитель
|
|---|
|
Артикул
|
Наименование |
Производитель
|
|---|
|
Артикул
|
Наименование |
Производитель
|
|---|
|
Артикул
|
Наименование |
Производитель
|
|---|
|
Артикул
|
Наименование |
Производитель
|
|---|
Акции и предложения
Популярные продукты:
ELISA Kit DIY Materials for Asporin (ASPN) (KSC321Hu01)
Организм: человек
Диапазон определения: 0.312-20 нг/мл
Чувствительность: 0.113 нг/мл
Диапазон определения: 0.312-20 нг/мл
Чувствительность: 0.113 нг/мл
Chicken Periostin ELISA kit (E12P0110)
Организм: курица
Monkey Cluster Of Differentiation 109 ELISA kit (E09C0311)
Организм: обезьяна
Rabbit Cluster Of Differentiation 109 ELISA kit (E04C0311)
Организм: кролик
Human Cluster Of Differentiation 109 ELISA kit (E01C0311)
Организм: человек
Диапазон определения: 2.5-50 нг/мл
Чувствительность: 0.1 нг/мл
Диапазон определения: 2.5-50 нг/мл
Чувствительность: 0.1 нг/мл
Monkey Cadherin 6(CDH6) ELISA kit (E09C1548)
Организм: обезьяна

