| UNIPROT | O14975 |
| Иммуноген | Синтетический пептид, соответствующий human SLC27A2 на N-конце |
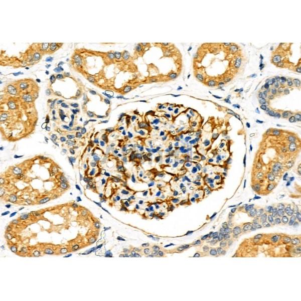
SLC27A2 Antibody (DF6222)
Реактивность подтвержденная:
человек, мышь, крыса
Источник (хозяин):
кролик
Валидировано для:
IHC
WB
IF
ICC
Характеристики
Техническое описание
| Каталожный номер | DF6222 |
| Название антигена | Fatty Acid Transport Protein 2 (FATP2) |
| UNIPROT | O14975 |
| Иммуноген | Синтетический пептид, соответствующий human SLC27A2 на N-конце |
| Английские синонимы | SLC27A2, ACSVL1, FACVL1, VLACS, VLCS, hFACVL1, Long-Chain Fatty Acid Transport Protein 2, Solute Carrier Family 27 Member 2,Fatty Acid Transporter |
Реактивность подтвержденная Нужна другая реактивность? |
человек, мышь, крыса |
| Реактивность предсказываемая | корова, лошадь, овца, кролик, собака |
| Источник (хозяин) | кролик |
| Изотип | IgG |
| Клональность | поликлональное |
| Рекомбинантное | нет |
| Готовое к использованию | нет |
| Концентрация | 1 мг/мл |
| Конъюгат | нет |
| Валидировано для | IHC WB IF ICC Иммуногистохимия; Вестерн-блоттинг; Иммунофлуоресценция; Иммуноцитохимия |
| Рекомендуемые разведения | WB: 1:500-1:2000; IHC: 1:50-1:200; IF/ICC: 1:100-1:500; Оптимальное разведение определяется конечным потребителем |
| Метод очистки | Антисыворотку очищали методом аффинной хроматографии пептидов с использованием связывающей смолы SulfoLink® (Thermo Fisher Scientific) |
| Состав буфера | Rabbit IgG в PBS; pH 7.4; 150mM NaCl; 0.02% азид натрия и 50% глицерин |
| RRID | AB_2838188 |
| Условия доставки | Термобокс с аккумуляторами холода |
| Условия хранения | Хранить при -20ºС. Стабилен 12 месяцев с даты получения |
| Срок хранения | 12 месяцев |
| Производитель | Affinity |
| Ссылка на страницу товара на сайте производителя | https://www.affbiotech.com/goods-5024-DF6222-SLC27A2_Antibody.html |
|
Артикул
|
Наименование |
Производитель
|
|---|
|
Артикул
|
Наименование |
Производитель
|
|---|
Акции и предложения
Популярные продукты:
Rabbit Retinoid isomerohydrolase(RPE65) ELISA kit (E04R0420)
Организм: кролик
Goat Selenoprotein P1, ELISA kit (E06S0086)
Организм: коза
Chicken Elastase 1 ELISA kit (E12E0070)
Организм: курица
Chicken Glucocorticoid receptor Alpha ELISA kit (E12G0360)
Организм: курица
Rabbit Troponin Ⅰ ELISA kit (E04T0524)
Организм: кролик

