| UNIPROT | Q8IWU4 |
| Иммуноген | Синтетический пептид, соответствующий human SLC30A8 во внутренней части белка |
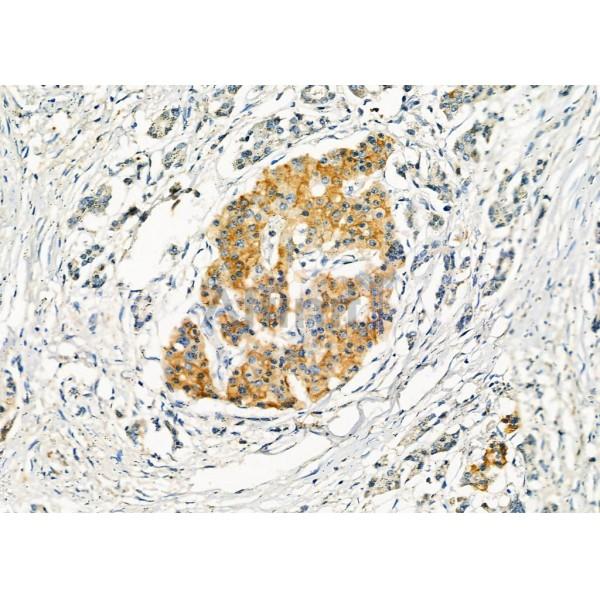
SLC30A8 Antibody (DF8719)
Реактивность подтвержденная:
человек
Источник (хозяин):
кролик
Валидировано для:
IHC
WB
IF
ICC
Характеристики
Техническое описание
| Каталожный номер | DF8719 |
| Название антигена | Solute Carrier Family 30 Member 8 (SLC30A8) |
| UNIPROT | Q8IWU4 |
| Иммуноген | Синтетический пептид, соответствующий human SLC30A8 во внутренней части белка |
| Английские синонимы | ZNT8, Zinc Transporter 8 |
Реактивность подтвержденная Нужна другая реактивность? |
человек |
| Реактивность предсказываемая | кролик, собака |
| Источник (хозяин) | кролик |
| Изотип | IgG |
| Клональность | поликлональное |
| Рекомбинантное | нет |
| Готовое к использованию | нет |
| Концентрация | 1 мг/мл |
| Конъюгат | нет |
| Валидировано для | IHC WB IF ICC Иммуногистохимия; Вестерн-блоттинг; Иммунофлуоресценция; Иммуноцитохимия |
| Рекомендуемые разведения | WB: 1:1000-3000; IF/ICC: 1:100-1:500; IHC: 1:50-1:200; Оптимальное разведение определяется конечным потребителем |
| Метод очистки | Антисыворотку очищали методом аффинной хроматографии пептидов с использованием связывающей смолы SulfoLink® (Thermo Fisher Scientific) |
| Состав буфера | Rabbit IgG в PBS; pH 7.4; 150mM NaCl; 0.02% азид натрия и 50% глицерин |
| RRID | AB_2841923 |
| Условия доставки | Термобокс с аккумуляторами холода |
| Условия хранения | Хранить при -20ºС. Стабилен 12 месяцев с даты получения |
| Срок хранения | 12 месяцев |
| Производитель | Affinity |
| Ссылка на страницу товара на сайте производителя | https://www.affbiotech.com/goods-12192-DF8719-SLC30A8_Antibody.html |
|
Артикул
|
Наименование |
Производитель
|
|---|
|
Артикул
|
Наименование |
Производитель
|
|---|
Акции и предложения
Популярные продукты:
Sheep Plasmin/antiplasmin complex ELISA kit (E14P0608)
Организм: овца
Canine Chemokine C C motif ligand 8 ELISA kit (E08C0619)
Организм: собака
SLC30A8 Antibody (DF8719)
Источник (хозяин): кролик
Реактивность подтвержденная: человек
Валидировано для: IHC, WB, IF, ICC
Реактивность подтвержденная: человек
Валидировано для: IHC, WB, IF, ICC
LYPLA1 Antibody (DF3737)
Источник (хозяин): кролик
Реактивность подтвержденная: человек, мышь, крыса
Валидировано для: WB, IF, ICC
Реактивность подтвержденная: человек, мышь, крыса
Валидировано для: WB, IF, ICC
Polyclonal Antibody to Oncomodulin (OCM) (PAH506Hu01)
Источник (хозяин): кролик
Реактивность подтвержденная: человек
Валидировано для: WB
Реактивность подтвержденная: человек
Валидировано для: WB

