| UNIPROT | Q13485 |
| Иммуноген | Синтетический пептид, соответствующий human Smad4 |
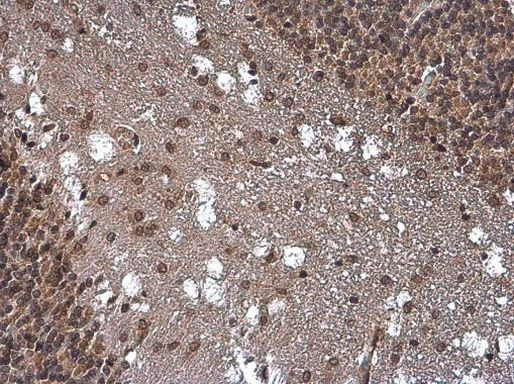
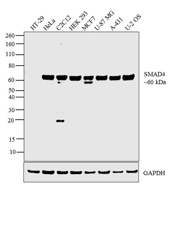
Smad4 Recombinant Rabbit mAb (ARM2394)
Реактивность подтвержденная:
человек, мышь, крыса
Источник (хозяин):
кролик
Валидировано для:
FCM
IP
WB
IF
ICC
Характеристики
Техническое описание
| Каталожный номер | ARM2394 |
| Название антигена | Mothers Against Decapentaplegic Homolog 4 (Smad4) |
| UNIPROT | Q13485 |
| Иммуноген | Синтетический пептид, соответствующий human Smad4 |
| Английские синонимы | DPC4, JIP, MADH4, Deletion target in pancreatic carcinoma 4 |
Реактивность подтвержденная Нужна другая реактивность? |
человек, мышь, крыса |
| Источник (хозяин) | кролик |
| Изотип | IgG |
| Клональность | моноклональное |
| Рекомбинантное | да |
| Готовое к использованию | нет |
| Концентрация | 1 мг/мл |
| Конъюгат | По запросу: HRP, biotin, Cy3, Cy5, APC, AF488, AF594, AF405 |
| Валидировано для | FCM IP WB IF ICC Проточная цитометрия; Иммунопреципитация; Вестерн-блоттинг; Иммунофлуоресценция; Иммуноцитохимия |
| Рекомендуемые разведения | WB 1:500~1:2000; IF/ICC 1:50~1:200; FCM 1:50; IP 1:50 |
| Метод очистки | Антигенспецифическая аффинная хроматография |
| Состав буфера | 50 нмоль Tris-Glycine(pH 7.4); 0.15M NaCl; 40% глицерин; 0.01% азид натрия и 0.05% БСА |
| Условия доставки | термобокс с аккумуляторами холода |
| Условия хранения | Сразу после получения аликвотировать и хранить при -20ºС до 12 месяцев с момента получения. Избегать повторения циклов замерзания/оттаивания |
| Срок хранения | 12 месяцев |
| Производитель | AssayVector |
|
Артикул
|
Наименование |
Производитель
|
|---|
|
Артикул
|
Наименование |
Производитель
|
|---|
|
Артикул
|
Наименование |
Производитель
|
|---|
|
Артикул
|
Наименование |
Производитель
|
|---|
|
Артикул
|
Наименование |
Производитель
|
|---|
|
Артикул
|
Наименование |
Производитель
|
|---|
Акции и предложения
Популярные продукты:
Anti-Clobetasol Propionate/CBP Monoclonal Antibody (1A488) (MGK61509)
Источник (хозяин): мышь
Реактивность подтвержденная: для всех
Валидировано для: ELISA
Реактивность подтвержденная: для всех
Валидировано для: ELISA
Anti-CD29/ITGB1 Antibody (AIIB2), PerCP (FHC17634)
Источник (хозяин): мышь
Реактивность подтвержденная: человек, мышь
Валидировано для: ELISA, FCM, IF, WB
Реактивность подтвержденная: человек, мышь
Валидировано для: ELISA, FCM, IF, WB
ELISA Kit for Acyl Coenzyme A Dehydrogenase, Short/Branched Chain (ACADSB) (SEG348Hu)
Организм: человек
Диапазон определения: 0.156-10 нг/мл
Чувствительность: 0.113 нг/мл
Диапазон определения: 0.156-10 нг/мл
Чувствительность: 0.113 нг/мл
Sheep Methylcytosine Dioxygenase TET1 ELISA Kit (E14T0868)
Организм: овца
Rat Cholesterol 25 hydroxylase(CH25H) ELISA kit (E02C1649)
Организм: крыса

