| UNIPROT | P60880 |
| Иммуноген | Синтетический пептид, соответствующий human SNAP25 |
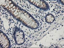
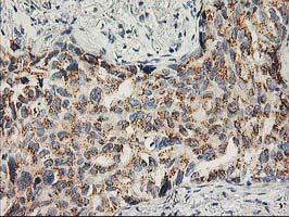
SNAP25 Recombinant Rabbit mAb (ARM1999)
Реактивность подтвержденная:
человек, мышь, крыса
Источник (хозяин):
кролик
Валидировано для:
IHC
WB
IF
ICC
Характеристики
Техническое описание
| Каталожный номер | ARM1999 |
| Название антигена | Synaptosomal Associated Protein 25kDa (SNAP25) |
| UNIPROT | P60880 |
| Иммуноген | Синтетический пептид, соответствующий human SNAP25 |
| Английские синонимы | RIC4, SEC9, SNAP, SUP, Super protein, Resistance To Inhibitors Of Cholinesterase 4 Homolog |
Реактивность подтвержденная Нужна другая реактивность? |
человек, мышь, крыса |
| Источник (хозяин) | кролик |
| Изотип | IgG |
| Клональность | моноклональное |
| Рекомбинантное | да |
| Готовое к использованию | нет |
| Концентрация | 1 мг/мл |
| Конъюгат | По запросу: HRP, biotin, Cy3, Cy5, APC, AF488, AF594, AF405 |
| Валидировано для | IHC WB IF ICC Иммуногистохимия; Вестерн-блоттинг; Иммунофлуоресценция; Иммуноцитохимия |
| Рекомендуемые разведения | WB 1:500~1:2000; IHC 1:50~1:200; IF/ICC 1:50~1:200 |
| Метод очистки | Антигенспецифическая аффинная хроматография |
| Состав буфера | 50 нмоль Tris-Glycine(pH 7.4); 0.15M NaCl; 40% глицерин; 0.01% азид натрия и 0.05% БСА |
| Условия доставки | термобокс с аккумуляторами холода |
| Условия хранения | Сразу после получения аликвотировать и хранить при -20ºС до 12 месяцев с момента получения. Избегать повторения циклов замерзания/оттаивания |
| Срок хранения | 12 месяцев |
| Производитель | AssayVector |
|
Артикул
|
Наименование |
Производитель
|
|---|
|
Артикул
|
Наименование |
Производитель
|
|---|
|
Артикул
|
Наименование |
Производитель
|
|---|
Акции и предложения
Популярные продукты:
ELISA Kit DIY Materials for Steroid 5 Alpha Reductase 2 (SRD5a2) (KSM285Hu01)
Организм: человек
Диапазон определения: 0.312-20 нг/мл
Чувствительность: 0.117 нг/мл
Диапазон определения: 0.312-20 нг/мл
Чувствительность: 0.117 нг/мл
Goat Cystatin 8(CST8) ELISA kit (E06C2127)
Организм: коза
Rabbit Bile salt sulfotransferase(SULT2A1) ELISA kit (E04B0976)
Организм: кролик
Guinea Pig Peripherin ELISA kit (E05P1061)
Организм: морская свинка
Bovine Claudin 3(CLDN3) ELISA kit (E11C0987)
Организм: корова
Monkey Claudin 3(CLDN3) ELISA kit (E09C0987)
Организм: обезьяна

