| UNIPROT | Q15465 |
| Иммуноген | Синтетический пептид, соответствующий human Sonic Hedgehog |
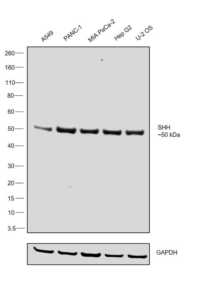
Sonic Hedgehog Recombinant Rabbit mAb (ARM2555)
Реактивность подтвержденная:
человек
Источник (хозяин):
кролик
Валидировано для:
FCM
IHC
WB
IF
ICC
Характеристики
Техническое описание
| Каталожный номер | ARM2555 |
| Название антигена | Hedgehog Homolog, Sonic (SHH) |
| UNIPROT | Q15465 |
| Иммуноген | Синтетический пептид, соответствующий human Sonic Hedgehog |
| Английские синонимы | HHG1, HLP3, HPE3, SMMCI, SHHN, SHH-N |
Реактивность подтвержденная Нужна другая реактивность? |
человек |
| Источник (хозяин) | кролик |
| Изотип | IgG |
| Клональность | моноклональное |
| Рекомбинантное | да |
| Готовое к использованию | нет |
| Концентрация | 1 мг/мл |
| Конъюгат | По запросу: HRP, biotin, Cy3, Cy5, APC, AF488, AF594, AF405 |
| Валидировано для | FCM IHC WB IF ICC Проточная цитометрия; Иммуногистохимия; Вестерн-блоттинг; Иммунофлуоресценция; Иммуноцитохимия |
| Рекомендуемые разведения | WB 1:500~1:2000; IHC 1:50~1:200; IF/ICC 1:50~1:200; FCM 1:50 |
| Метод очистки | Антигенспецифическая аффинная хроматография |
| Состав буфера | 50 нмоль Tris-Glycine(pH 7.4); 0.15M NaCl; 40% глицерин; 0.01% азид натрия и 0.05% БСА |
| Условия доставки | термобокс с аккумуляторами холода |
| Условия хранения | Сразу после получения аликвотировать и хранить при -20ºС до 12 месяцев с момента получения. Избегать повторения циклов замерзания/оттаивания |
| Срок хранения | 12 месяцев |
| Производитель | AssayVector |
|
Артикул
|
Наименование |
Производитель
|
|---|
|
Артикул
|
Наименование |
Производитель
|
|---|
|
Артикул
|
Наименование |
Производитель
|
|---|
|
Артикул
|
Наименование |
Производитель
|
|---|
|
Артикул
|
Наименование |
Производитель
|
|---|
|
Артикул
|
Наименование |
Производитель
|
|---|
Акции и предложения
Популярные продукты:
InVivoMAb Anti-Mouse CD274/PD-L1/B7-H1 Antibody (10F.9G2) (VMJ70105)
Источник (хозяин): крыса
Реактивность подтвержденная: мышь
Валидировано для: BLOCK, ELISA, FCM, IHC-F
Реактивность подтвержденная: мышь
Валидировано для: BLOCK, ELISA, FCM, IHC-F
InVivoMAb Anti-Human CD3 Antibody (UCHT1) (VHC27703)
Источник (хозяин): мышь
Реактивность подтвержденная: человек
Валидировано для: ELISA, FCM, NEUT
Реактивность подтвержденная: человек
Валидировано для: ELISA, FCM, NEUT
ELISA Kit DIY Materials for Interleukin 1 Delta (FIL1d) (KSA566Hu01)
Организм: человек
Диапазон определения: 15.6-1000 пг/мл
Чувствительность: 5.5 пг/мл
Диапазон определения: 15.6-1000 пг/мл
Чувствительность: 5.5 пг/мл
Guinea Pig Tyrosine protein kinase Lck(LCK) ELISA kit (E05T0623)
Организм: морская свинка
Rat Anti Neuronal Nuclear AutoAntibody 1 ELISA kit (E02A0438)
Организм: крыса
Recombinant Human TIMM9 protein (GST,His tag) (PDEH101079)
Источник (хозяин): E.coli
Организм: человек
Фрагмент: Met 1-Arg 89
Теги: N-GST & C-His
Биоактивность: нет
Организм: человек
Фрагмент: Met 1-Arg 89
Теги: N-GST & C-His
Биоактивность: нет

