| UNIPROT | Q99523 |
| Иммуноген | Рекомбинантный белок human Sortilin/NT3 |
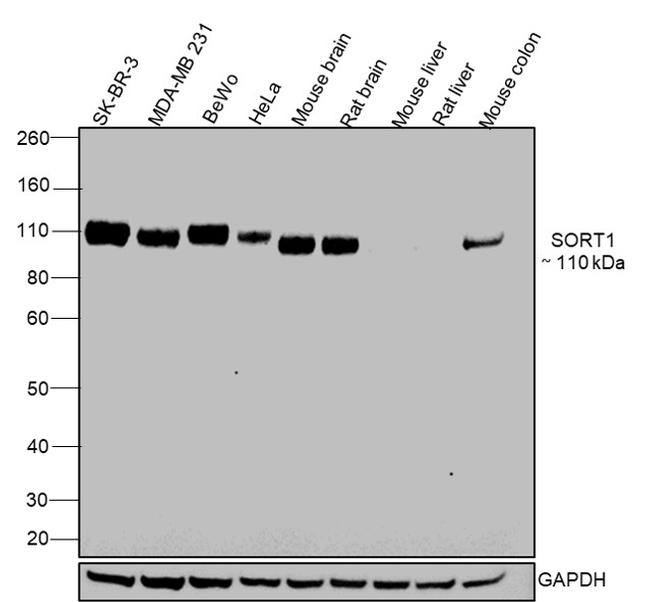
Sortilin Recombinant Rabbit mAb (ARM2255)
Реактивность подтвержденная:
человек, мышь, крыса
Источник (хозяин):
кролик
Валидировано для:
FCM
IHC
WB
IF
ICC
Характеристики
Техническое описание
| Каталожный номер | ARM2255 |
| Название антигена | Sortilin 1 (SORT1) |
| UNIPROT | Q99523 |
| Иммуноген | Рекомбинантный белок human Sortilin/NT3 |
| Английские синонимы | NT3, Gp95, NTR3, 100 kDa NT receptor, Glycoprotein 95, Neurotensin receptor 3 |
Реактивность подтвержденная Нужна другая реактивность? |
человек, мышь, крыса |
| Источник (хозяин) | кролик |
| Изотип | IgG |
| Клональность | моноклональное |
| Рекомбинантное | да |
| Готовое к использованию | нет |
| Концентрация | 1 мг/мл |
| Конъюгат | По запросу: HRP, biotin, Cy3, Cy5, APC, AF488, AF594, AF405 |
| Валидировано для | FCM IHC WB IF ICC Проточная цитометрия; Иммуногистохимия; Вестерн-блоттинг; Иммунофлуоресценция; Иммуноцитохимия |
| Рекомендуемые разведения | WB 1:500~1:2000; IHC 1:50~1:200; IF/ICC 1:50~1:200; FCM 1:50 |
| Метод очистки | Антигенспецифическая аффинная хроматография |
| Состав буфера | 50 нмоль Tris-Glycine(pH 7.4); 0.15M NaCl; 40% глицерин; 0.01% азид натрия и 0.05% БСА |
| Условия доставки | термобокс с аккумуляторами холода |
| Условия хранения | Сразу после получения аликвотировать и хранить при -20ºС до 12 месяцев с момента получения. Избегать повторения циклов замерзания/оттаивания |
| Срок хранения | 12 месяцев |
| Производитель | AssayVector |
|
Артикул
|
Наименование |
Производитель
|
|---|
|
Артикул
|
Наименование |
Производитель
|
|---|
|
Артикул
|
Наименование |
Производитель
|
|---|
Акции и предложения
Популярные продукты:
AR Mouse Monoclonal Antibody (BF8142)
Источник (хозяин): мышь
Реактивность подтвержденная: человек, мышь
Валидировано для: IHC, WB
Реактивность подтвержденная: человек, мышь
Валидировано для: IHC, WB
Anti-CD146/MCAM Antibody (Fs0349) (RHE39704)
Источник (хозяин): мышь
Реактивность подтвержденная: человек, мышь, кролик, собака
Валидировано для: ELISA, FCM, ICC, IF
Реактивность подтвержденная: человек, мышь, кролик, собака
Валидировано для: ELISA, FCM, ICC, IF
ELISA Kit DIY Materials for Tight Junction Protein 2 (TJP2) (KSF167Hu01)
Организм: человек
Диапазон определения: 0.312-20 нг/мл
Чувствительность: 0.124 нг/мл
Диапазон определения: 0.312-20 нг/мл
Чувствительность: 0.124 нг/мл
ELISA Kit DIY Materials for Bcl2 Associated X Protein (Bax) (KSB343Mu01)
Организм: мышь
Диапазон определения: 62.5-4000 пг/мл
Чувствительность: 25.3 пг/мл
Диапазон определения: 62.5-4000 пг/мл
Чувствительность: 25.3 пг/мл
ELISA Kit DIY Materials for C-Mer Proto Oncogene Tyrosine Kinase (MERTK) (KSE271Hu01)
Организм: человек
Диапазон определения: 0.312-20 нг/мл
Чувствительность: 0.113 нг/мл
Диапазон определения: 0.312-20 нг/мл
Чувствительность: 0.113 нг/мл
Monkey Lactic Acid ELISA kit (E09L0004)
Организм: обезьяна

