| UNIPROT | P48436 |
| Иммуноген | Рекомбинантный белок human SOX9 |
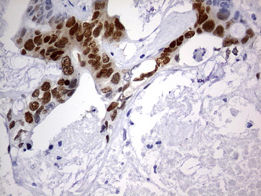
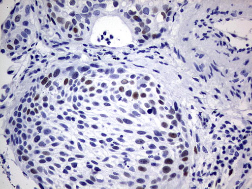
SOX9 Recombinant Rabbit mAb (ARM1189)
Реактивность подтвержденная:
человек, мышь, крыса
Источник (хозяин):
кролик
Валидировано для:
FCM
IHC
WB
IF
ICC
Характеристики
Техническое описание
| Каталожный номер | ARM1189 |
| Название антигена | Sex Determining Region Y Box Protein 9 (SOX9) |
| UNIPROT | P48436 |
| Иммуноген | Рекомбинантный белок human SOX9 |
| Английские синонимы | CMPD1, CMD1, SRA1, Campomelic Dysplasia,Autosomal Sex-Reversal, Transcription factor SOX-9 |
Реактивность подтвержденная Нужна другая реактивность? |
человек, мышь, крыса |
| Источник (хозяин) | кролик |
| Изотип | IgG |
| Клональность | моноклональное |
| Рекомбинантное | да |
| Готовое к использованию | нет |
| Концентрация | 1 мг/мл |
| Конъюгат | По запросу: HRP, biotin, Cy3, Cy5, APC, AF488, AF594, AF405 |
| Валидировано для | FCM IHC WB IF ICC Проточная цитометрия; Иммуногистохимия; Вестерн-блоттинг; Иммунофлуоресценция; Иммуноцитохимия |
| Рекомендуемые разведения | WB 1:500~1:2000; IHC 1:50~1:200; IF/ICC 1:50~1:200; FCM 1:50 |
| Метод очистки | Антигенспецифическая аффинная хроматография |
| Состав буфера | 50 нмоль Tris-Glycine(pH 7.4); 0.15M NaCl; 40% глицерин; 0.01% азид натрия и 0.05% БСА |
| Условия доставки | термобокс с аккумуляторами холода |
| Условия хранения | Сразу после получения аликвотировать и хранить при -20ºС до 12 месяцев с момента получения. Избегать повторения циклов замерзания/оттаивания |
| Срок хранения | 12 месяцев |
| Производитель | AssayVector |
|
Артикул
|
Наименование |
Производитель
|
|---|
|
Артикул
|
Наименование |
Производитель
|
|---|
|
Артикул
|
Наименование |
Производитель
|
|---|
|
Артикул
|
Наименование |
Производитель
|
|---|
|
Артикул
|
Наименование |
Производитель
|
|---|
|
Артикул
|
Наименование |
Производитель
|
|---|
|
Артикул
|
Наименование |
Производитель
|
|---|
Акции и предложения
Популярные продукты:
Human AT rich interactive domain containing protein 5B(ARID5B) ELISA kit (E01A1646)
Организм: человек
Диапазон определения: 5-100 нг/мл
Чувствительность: 1 нг/мл
Диапазон определения: 5-100 нг/мл
Чувствительность: 1 нг/мл
Guinea Pig Cdc42 effector protein 5(CDC42EP5) ELISA kit (E05C1519)
Организм: морская свинка
Rabbit Complexin 4(CPLX4) ELISA kit (E04C2005)
Организм: кролик
Mouse Complexin 4(CPLX4) ELISA kit (E03C2005)
Организм: мышь
Rat Complexin 4(CPLX4) ELISA kit (E02C2005)
Организм: крыса
Human Complexin 4(CPLX4) ELISA kit (E01C2005)
Организм: человек
Диапазон определения: 1-25 нг/мл
Чувствительность: 0.1 нг/мл
Диапазон определения: 1-25 нг/мл
Чувствительность: 0.1 нг/мл

