| UNIPROT | P08047 |
| Иммуноген | Синтетический пептид, соответствующий human SP1 |
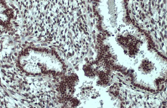
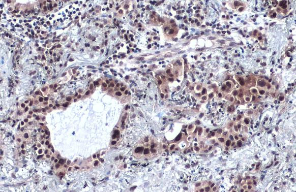
SP1 Recombinant Rabbit mAb (ARM2654)
Реактивность подтвержденная:
человек
Источник (хозяин):
кролик
Валидировано для:
IHC
WB
IF
ICC
Характеристики
Техническое описание
| Каталожный номер | ARM2654 |
| Название антигена | Specificity Protein 1 (Sp1) |
| UNIPROT | P08047 |
| Иммуноген | Синтетический пептид, соответствующий human SP1 |
| Английские синонимы | TSFP1, Sp1 Transcription Factor |
Реактивность подтвержденная Нужна другая реактивность? |
человек |
| Источник (хозяин) | кролик |
| Изотип | IgG |
| Клональность | моноклональное |
| Рекомбинантное | да |
| Готовое к использованию | нет |
| Концентрация | 1 мг/мл |
| Конъюгат | По запросу: HRP, biotin, Cy3, Cy5, APC, AF488, AF594, AF405 |
| Валидировано для | IHC WB IF ICC Иммуногистохимия; Вестерн-блоттинг; Иммунофлуоресценция; Иммуноцитохимия |
| Рекомендуемые разведения | WB 1:500~1:2000; IHC 1:50~1:200; IF/ICC 1:50~1:200 |
| Метод очистки | Антигенспецифическая аффинная хроматография |
| Состав буфера | 50 нмоль Tris-Glycine(pH 7.4); 0.15M NaCl; 40% глицерин; 0.01% азид натрия и 0.05% БСА |
| Условия доставки | термобокс с аккумуляторами холода |
| Условия хранения | Сразу после получения аликвотировать и хранить при -20ºС до 12 месяцев с момента получения. Избегать повторения циклов замерзания/оттаивания |
| Срок хранения | 12 месяцев |
| Производитель | AssayVector |
|
Артикул
|
Наименование |
Производитель
|
|---|
|
Артикул
|
Наименование |
Производитель
|
|---|
|
Артикул
|
Наименование |
Производитель
|
|---|
Акции и предложения
Популярные продукты:
Goat Transcription factor SOX 14(SOX14) ELISA kit (E06T0645)
Организм: коза
Rat Transcription factor SOX 14(SOX14) ELISA kit (E02T0645)
Организм: крыса
Anti-Mouse CSF1/M-CSF Polyclonal Antibody (PMC42101)
Источник (хозяин): кролик
Реактивность подтвержденная: мышь
Валидировано для: ELISA, IHC, WB
Реактивность подтвержденная: мышь
Валидировано для: ELISA, IHC, WB
Anti-SP1 Polyclonal Antibody (PHC29701)
Источник (хозяин): кролик
Реактивность подтвержденная: человек, мышь, крыса
Валидировано для: ELISA, IHC, WB
Реактивность подтвержденная: человек, мышь, крыса
Валидировано для: ELISA, IHC, WB
Anti-CSF1/M-CSF Polyclonal Antibody (PHC42101)
Источник (хозяин): кролик
Реактивность подтвержденная: человек
Валидировано для: ELISA, IHC, WB
Реактивность подтвержденная: человек
Валидировано для: ELISA, IHC, WB
Recombinant Human APCS Protein, C-His (EHC00101)
Источник (хозяин): клетки млекопитающих
Организм: человек
Фрагмент: Met1-Val223
Теги: C-His
Биоактивность: нет
Организм: человек
Фрагмент: Met1-Val223
Теги: C-His
Биоактивность: нет

