| UNIPROT | Q13501 |
| Иммуноген | Рекомбинантный белок human SQSTM1/p62 |
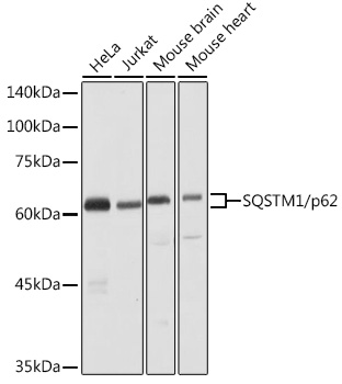
SQSTM1/p62 Recombinant Rabbit mAb (ARM2460)
Реактивность подтвержденная:
человек, мышь, крыса
Источник (хозяин):
кролик
Валидировано для:
FCM
IP
WB
IF
ICC
Характеристики
Техническое описание
| Каталожный номер | ARM2460 |
| Название антигена | Sequestosome 1 (SQSTM1) |
| UNIPROT | Q13501 |
| Иммуноген | Рекомбинантный белок human SQSTM1/p62 |
| Английские синонимы | OSIL, PDB3, ZIP3, p62, p62B, p60, A170, Paget Disease Of Bone 3, Oxidative Stress Induced Like, EBI3-associated protein of 60 kDa, Ubiquitin-binding protein p62 |
Реактивность подтвержденная Нужна другая реактивность? |
человек, мышь, крыса |
| Источник (хозяин) | кролик |
| Изотип | IgG |
| Клональность | моноклональное |
| Рекомбинантное | да |
| Готовое к использованию | нет |
| Концентрация | 1 мг/мл |
| Конъюгат | По запросу: HRP, biotin, Cy3, Cy5, APC, AF488, AF594, AF405 |
| Валидировано для | FCM IP WB IF ICC Проточная цитометрия; Иммунопреципитация; Вестерн-блоттинг; Иммунофлуоресценция; Иммуноцитохимия |
| Рекомендуемые разведения | WB 1:500~1:2000; IF/ICC 1:50~1:200; FCM 1:50; IP 1:50 |
| Метод очистки | Антигенспецифическая аффинная хроматография |
| Состав буфера | 50 нмоль Tris-Glycine(pH 7.4); 0.15M NaCl; 40% глицерин; 0.01% азид натрия и 0.05% БСА |
| Условия доставки | термобокс с аккумуляторами холода |
| Условия хранения | Сразу после получения аликвотировать и хранить при -20ºС до 12 месяцев с момента получения. Избегать повторения циклов замерзания/оттаивания |
| Срок хранения | 12 месяцев |
| Производитель | AssayVector |
|
Артикул
|
Наименование |
Производитель
|
|---|
|
Артикул
|
Наименование |
Производитель
|
|---|
|
Артикул
|
Наименование |
Производитель
|
|---|
|
Артикул
|
Наименование |
Производитель
|
|---|
|
Артикул
|
Наименование |
Производитель
|
|---|
|
Артикул
|
Наименование |
Производитель
|
|---|
Акции и предложения
Популярные продукты:
Anti-Human CD22 Antibody (HB227) (FHD38540)
Источник (хозяин): мышь
Реактивность подтвержденная: человек
Валидировано для: ELISA, FCM
Реактивность подтвержденная: человек
Валидировано для: ELISA, FCM
Goat 14 3 3 protein zeta/delta(YWHAZ) ELISA kit (E06P0216)
Организм: коза
Monkey Hexose-6-Phosphate Dehydrogenase ELISA kit (E09H1504)
Организм: обезьяна
Rat Calcium binding protein 7(CABP7) ELISA kit (E02C1301)
Организм: крыса
Monkey Serotonin Transporter ELISA kit (E09S0089)
Организм: обезьяна
Porcine Interferon Gamma Inducible Protein 16 ELISA kit (E07I0035)
Организм: свинья

