Назначение
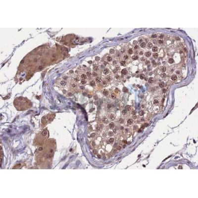
поликлональное антитело от производителя Affinity к Sterol Regulatory Element Binding Transcription Factor 2 (SREBF2) источник — кролик предназначено для детекции целевого антигена в биологических образцах. Продукт характеризуется подтвержденной реактивностью к человек, мышь, крыса.
Преимущества
- Высокая специфичность и аффинность
- Концентрация: 1 мг/мл
- Оптимизированный состав буфера: Rabbit IgG в PBS; pH 7.4; 150mM NaCl; 0.02% азид натрия и 50% глицерин
- Стабильность: 12 месяцев
Применение в исследованиях
Условия хранения
Срок годности: 12 месяцев. Хранить при -20ºС. Стабилен 12 месяцев с даты получения. Рекомендуется соблюдать температурный режим при транспортировке и хранении.

