| UNIPROT | O76094 |
| Иммуноген | Синтетический пептид, соответствующий human SRP72 |
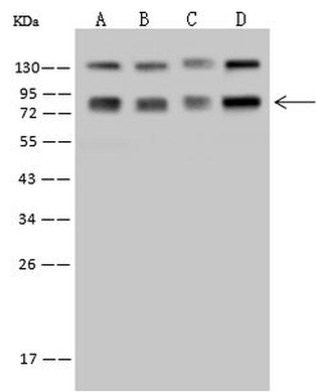
SRP72 Recombinant Rabbit mAb (ARM1663)
Реактивность подтвержденная:
человек
Источник (хозяин):
кролик
Валидировано для:
FCM
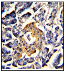
IHC
WB
IF
ICC
Характеристики
Техническое описание
| Каталожный номер | ARM1663 |
| Название антигена | Signal Recognition Particle 72kDa (SRP72) |
| UNIPROT | O76094 |
| Иммуноген | Синтетический пептид, соответствующий human SRP72 |
Реактивность подтвержденная Нужна другая реактивность? |
человек |
| Источник (хозяин) | кролик |
| Изотип | IgG |
| Клональность | моноклональное |
| Рекомбинантное | да |
| Готовое к использованию | нет |
| Концентрация | 1 мг/мл |
| Конъюгат | По запросу: HRP, biotin, Cy3, Cy5, APC, AF488, AF594, AF405 |
| Валидировано для | FCM IHC WB IF ICC Проточная цитометрия; Иммуногистохимия; Вестерн-блоттинг; Иммунофлуоресценция; Иммуноцитохимия |
| Рекомендуемые разведения | WB 1:500~1:2000; IHC 1:50~1:200; IF/ICC 1:50~1:200; FCM 1:50 |
| Метод очистки | Антигенспецифическая аффинная хроматография |
| Состав буфера | 50 нмоль Tris-Glycine(pH 7.4); 0.15M NaCl; 40% глицерин; 0.01% азид натрия и 0.05% БСА |
| Условия доставки | термобокс с аккумуляторами холода |
| Условия хранения | Сразу после получения аликвотировать и хранить при -20ºС до 12 месяцев с момента получения. Избегать повторения циклов замерзания/оттаивания |
| Срок хранения | 12 месяцев |
| Производитель | AssayVector |
|
Артикул
|
Наименование |
Производитель
|
|---|
|
Артикул
|
Наименование |
Производитель
|
|---|
Акции и предложения
Популярные продукты:
Mini Samples ELISA Kit for Alkaline Phosphatase (ALP) (MEB472Hu)
Организм: человек
Диапазон определения: 1.56-100 нг/мл
Чувствительность: 0.055 нг/мл
Диапазон определения: 1.56-100 нг/мл
Чувствительность: 0.055 нг/мл
Canine Interleukin 33 Receptor / ST2 ELISA kit (E08I0457)
Организм: собака
Porcine Thimet oligopeptidase ELISA kit (E07T0406)
Организм: свинья

