| UNIPROT | P42224 |
| Иммуноген | Синтетический пептид, соответствующий human STAT1 alpha |
STAT1 Recombinant Rabbit mAb (ARM1896)
Реактивность подтвержденная:
человек
Источник (хозяин):
кролик
Валидировано для:
FCM
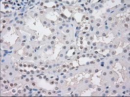
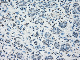
IHC
IP
WB
IF
ICC
Характеристики
Техническое описание
| Каталожный номер | ARM1896 |
| Название антигена | Signal Transducer And Activator Of Transcription 1 (STAT1) |
| UNIPROT | P42224 |
| Иммуноген | Синтетический пептид, соответствующий human STAT1 alpha |
| Английские синонимы | ISGF-3, STAT91, Transcription Factor ISGF-3 Components p91/p84 |
Реактивность подтвержденная Нужна другая реактивность? |
человек |
| Источник (хозяин) | кролик |
| Изотип | IgG |
| Клональность | моноклональное |
| Рекомбинантное | да |
| Готовое к использованию | нет |
| Концентрация | 1 мг/мл |
| Конъюгат | По запросу: HRP, biotin, Cy3, Cy5, APC, AF488, AF594, AF405 |
| Валидировано для | FCM IHC IP WB IF ICC Проточная цитометрия; Иммуногистохимия; Иммунопреципитация; Вестерн-блоттинг; Иммунофлуоресценция; Иммуноцитохимия |
| Рекомендуемые разведения | WB 1:500~1:2000; IHC 1:50~1:200; IF/ICC 1:50~1:200; FCM 1:50; IP 1:50 |
| Метод очистки | Антигенспецифическая аффинная хроматография |
| Состав буфера | 50 нмоль Tris-Glycine(pH 7.4); 0.15M NaCl; 40% глицерин; 0.01% азид натрия и 0.05% БСА |
| Условия доставки | термобокс с аккумуляторами холода |
| Условия хранения | Сразу после получения аликвотировать и хранить при -20ºС до 12 месяцев с момента получения. Избегать повторения циклов замерзания/оттаивания |
| Срок хранения | 12 месяцев |
| Производитель | AssayVector |
|
Артикул
|
Наименование |
Производитель
|
|---|
|
Артикул
|
Наименование |
Производитель
|
|---|
|
Артикул
|
Наименование |
Производитель
|
|---|
|
Артикул
|
Наименование |
Производитель
|
|---|
|
Артикул
|
Наименование |
Производитель
|
|---|
|
Артикул
|
Наименование |
Производитель
|
|---|
Акции и предложения
Популярные продукты:
SMAD6 Mouse Monoclonal Antibody (BF8507)
Источник (хозяин): мышь
Реактивность подтвержденная: человек, крыса
Валидировано для: WB
Реактивность подтвержденная: человек, крыса
Валидировано для: WB
Monoclonal Antibody to Vitamin D Binding Protein (DBP) (MAB810Hu29)
Источник (хозяин): мышь
Реактивность подтвержденная: человек
Валидировано для: IHC, WB
Реактивность подтвержденная: человек
Валидировано для: IHC, WB
Porcine Alpha (1,3) fucosyltransferase (FUT7) ELISA kit (E07A1866)
Организм: свинья
Rabbit Small nuclear ribonucleoprotein E(SNRPE) ELISA kit (E04S0387)
Организм: кролик
Goat Cornifin B(SPRR1B) ELISA kit (E06C2448)
Организм: коза

