| UNIPROT | P51692 |
| Иммуноген | Рекомбинантный белок human STAT5b |
STAT5b Recombinant Rabbit mAb (ARM2294)
Реактивность подтвержденная:
человек, мышь, крыса
Источник (хозяин):
кролик
Валидировано для:
FCM
IHC
IP
WB
IF
ICC
Характеристики
Техническое описание
| Каталожный номер | ARM2294 |
| Название антигена | Signal Transducer And Activator Of Transcription 5B (STAT5B) |
| UNIPROT | P51692 |
| Иммуноген | Рекомбинантный белок human STAT5b |
| Английские синонимы | STAT5-B |
Реактивность подтвержденная Нужна другая реактивность? |
человек, мышь, крыса |
| Источник (хозяин) | кролик |
| Изотип | IgG |
| Клональность | моноклональное |
| Рекомбинантное | да |
| Готовое к использованию | нет |
| Концентрация | 1 мг/мл |
| Конъюгат | По запросу: HRP, biotin, Cy3, Cy5, APC, AF488, AF594, AF405 |
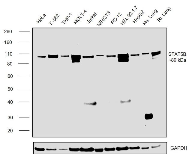
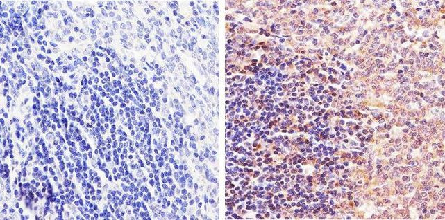
| Валидировано для | FCM IHC IP WB IF ICC Проточная цитометрия; Иммуногистохимия; Иммунопреципитация; Вестерн-блоттинг; Иммунофлуоресценция; Иммуноцитохимия |
| Рекомендуемые разведения | WB 1:500~1:2000; IHC 1:50~1:200; IF/ICC 1:50~1:200; FCM 1:50; IP 1:50 |
| Метод очистки | Антигенспецифическая аффинная хроматография |
| Состав буфера | 50 нмоль Tris-Glycine(pH 7.4); 0.15M NaCl; 40% глицерин; 0.01% азид натрия и 0.05% БСА |
| Условия доставки | термобокс с аккумуляторами холода |
| Условия хранения | Сразу после получения аликвотировать и хранить при -20ºС до 12 месяцев с момента получения. Избегать повторения циклов замерзания/оттаивания |
| Срок хранения | 12 месяцев |
| Производитель | AssayVector |
|
Артикул
|
Наименование |
Производитель
|
|---|
|
Артикул
|
Наименование |
Производитель
|
|---|
|
Артикул
|
Наименование |
Производитель
|
|---|
Акции и предложения
Популярные продукты:
Polyclonal Antibody to Valosin Containing Protein (VCP) (PAC601Ra01)
Источник (хозяин): кролик
Реактивность подтвержденная: крыса
Валидировано для: ICC, IHC, IP, WB
Реактивность подтвержденная: крыса
Валидировано для: ICC, IHC, IP, WB
ELISA Kit DIY Materials for Receptor Tyrosine Kinase Like Orphan Receptor 1 (ROR1) (KSG522Hu01)
Организм: человек
Диапазон определения: 0.156-10 нг/мл
Чувствительность: 0.058 нг/мл
Диапазон определения: 0.156-10 нг/мл
Чувствительность: 0.058 нг/мл
Goat Cdc42 effector protein 1(CDC42EP1) ELISA kit (E06C1515)
Организм: коза

