| UNIPROT | P42226 |
| Иммуноген | Рекомбинантный гибридный белок из человеческого STAT6 (NP_001171550.1) |
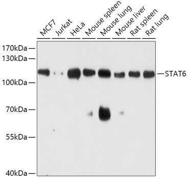
STAT6 Polyclonal Antibody (E-AB-65706)
Реактивность подтвержденная:
человек, мышь, крыса
Источник (хозяин):
кролик
Валидировано для:
WB
Характеристики
Техническое описание
| Каталожный номер | E-AB-65706 |
| Название антигена | Signal Transducer And Activator Of Transcription 6 (STAT6) |
| UNIPROT | P42226 |
| Иммуноген | Рекомбинантный гибридный белок из человеческого STAT6 (NP_001171550.1) |
| Английские синонимы | IL-4-STAT, STAT6B, STAT6C, Signal Transducer And Activator Of Transcription 6,Interleukin-4 Induced |
Реактивность подтвержденная Нужна другая реактивность? |
человек, мышь, крыса |
| Источник (хозяин) | кролик |
| Изотип | IgG |
| Клональность | поликлональное |
| Рекомбинантное | нет |
| Готовое к использованию | нет |
| Концентрация | 1мг/мл |
| Конъюгат | нет |
| Валидировано для | WB Вестерн-блоттинг |
| Рекомендуемые разведения | WB 1:500-1:2000 |
| Метод очистки | Аффинная хроматография |
| Состав буфера | PBS с 0.02% азид натрия, 50% глицерин, pH7.3 |
| Условия доставки | термобокс с аккумуляторами холода |
| Условия хранения | Хранить при -20°C - 12 месяцев. Избегать повторяющихся циклов замораживания/оттаивания |
| Срок хранения | 12 месяцев |
| Производитель | Elabscience |
| Ссылка на страницу товара на сайте производителя | https://www.elabscience.com/p-stat6_polyclonal_antibody-e_ab_65706 |
|
Артикул
|
Наименование |
Производитель
|
|---|
|
Артикул
|
Наименование |
Производитель
|
|---|
|
Артикул
|
Наименование |
Производитель
|
|---|
|
Артикул
|
Наименование |
Производитель
|
|---|
|
Артикул
|
Наименование |
Производитель
|
|---|
|
Артикул
|
Наименование |
Производитель
|
|---|
|
Артикул
|
Наименование |
Производитель
|
|---|
Акции и предложения
Популярные продукты:
ELISA Kit DIY Materials for Plasmin/Antiplasmin Complex (PAP) (KSA832Hu01)
Организм: человек
Диапазон определения: 0.78-50 нг/мл
Чувствительность: 0.29 нг/мл
Диапазон определения: 0.78-50 нг/мл
Чувствительность: 0.29 нг/мл
Recombinant Human MYOG/BHLHC3/MYF4 protein (His tag) (PDEH101026)
Источник (хозяин): E.coli
Организм: человек
Фрагмент: Met 1-Asn 224
Теги: N-His & C-His
Биоактивность: нет
Организм: человек
Фрагмент: Met 1-Asn 224
Теги: N-His & C-His
Биоактивность: нет
Recombinant Human SLIT1 Protein, N-His (YHB08301)
Источник (хозяин): E.coli
Организм: человек
Фрагмент: Asn647-Arg835
Теги: N-His
Биоактивность: нет
Организм: человек
Фрагмент: Asn647-Arg835
Теги: N-His
Биоактивность: нет
STAT6 Polyclonal Antibody (E-AB-65706)
Источник (хозяин): кролик
Реактивность подтвержденная: человек, мышь, крыса
Валидировано для: WB
Реактивность подтвержденная: человек, мышь, крыса
Валидировано для: WB
ATF3 Polyclonal Antibody (E-AB-93239)
Источник (хозяин): кролик
Реактивность подтвержденная: мышь, крыса
Валидировано для: WB
Реактивность подтвержденная: мышь, крыса
Валидировано для: WB

