| UNIPROT | P31948 |
| Иммуноген | Синтетический пептид, соответствующий human STIP1 |
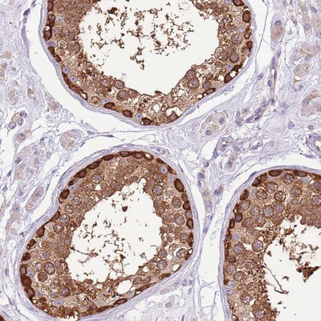
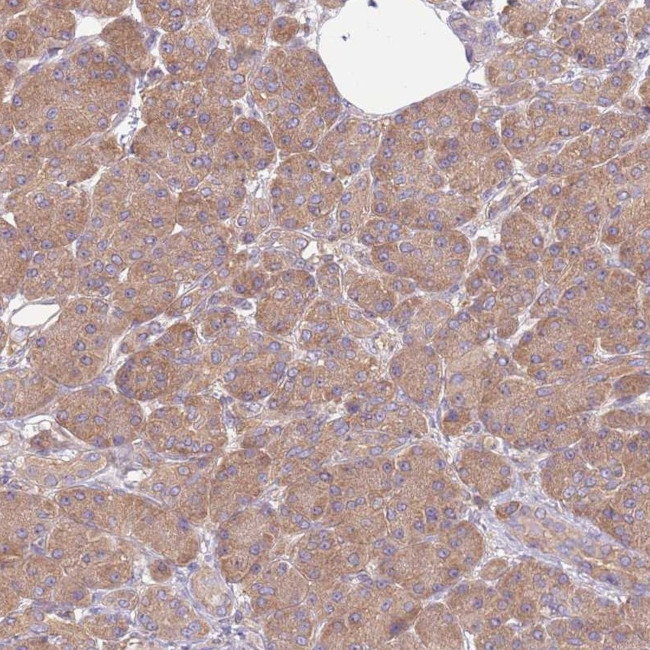
STIP1 Recombinant Rabbit mAb (ARM2711)
Реактивность подтвержденная:
человек, мышь, крыса
Источник (хозяин):
кролик
Валидировано для:
FCM
IHC
IP
WB
IF
ICC
Характеристики
Техническое описание
| Каталожный номер | ARM2711 |
| Название антигена | Stress Induced Phosphoprotein 1 (STIP1) |
| UNIPROT | P31948 |
| Иммуноген | Синтетический пептид, соответствующий human STIP1 |
| Английские синонимы | HOP, P60, IEF-SSP-3521, STI1L, Hsp70/Hsp90-Organizing Protein, Renal carcinoma antigen NY-REN-11, Transformation-sensitive protein IEF SSP 3521 |
Реактивность подтвержденная Нужна другая реактивность? |
человек, мышь, крыса |
| Источник (хозяин) | кролик |
| Изотип | IgG |
| Клональность | моноклональное |
| Рекомбинантное | да |
| Готовое к использованию | нет |
| Концентрация | 1 мг/мл |
| Конъюгат | По запросу: HRP, biotin, Cy3, Cy5, APC, AF488, AF594, AF405 |
| Валидировано для | FCM IHC IP WB IF ICC Проточная цитометрия; Иммуногистохимия; Иммунопреципитация; Вестерн-блоттинг; Иммунофлуоресценция; Иммуноцитохимия |
| Рекомендуемые разведения | WB 1:500~1:2000; IHC 1:50~1:200; IF/ICC 1:50~1:200; FCM 1:50; IP 1:50 |
| Метод очистки | Антигенспецифическая аффинная хроматография |
| Состав буфера | 50 нмоль Tris-Glycine(pH 7.4); 0.15M NaCl; 40% глицерин; 0.01% азид натрия и 0.05% БСА |
| Условия доставки | термобокс с аккумуляторами холода |
| Условия хранения | Сразу после получения аликвотировать и хранить при -20ºС до 12 месяцев с момента получения. Избегать повторения циклов замерзания/оттаивания |
| Срок хранения | 12 месяцев |
| Производитель | AssayVector |
|
Артикул
|
Наименование |
Производитель
|
|---|
|
Артикул
|
Наименование |
Производитель
|
|---|
Акции и предложения
Популярные продукты:
ELISA Kit DIY Materials for Chitinase 1 (CHIT1) (KSJ374Mu01)
Организм: мышь
Диапазон определения: 0.156-10 нг/мл
Чувствительность: 0.056 нг/мл
Диапазон определения: 0.156-10 нг/мл
Чувствительность: 0.056 нг/мл
Monoclonal Antibody to Complement Component 5a (C5a) (MAA388Mu22)
Источник (хозяин): мышь
Реактивность подтвержденная: мышь
Валидировано для: ICC, IF
Реактивность подтвержденная: мышь
Валидировано для: ICC, IF
Goat Calsyntenin 3(CLSTN3) ELISA kit (E06C1818)
Организм: коза
Chicken Atlastin 2(ATL2) ELISA kit (E12A1755)
Организм: курица
Porcine Atlastin 2(ATL2) ELISA kit (E07A1755)
Организм: свинья
Guinea Pig Cytochrome c type heme lyase(HCCS) ELISA kit (E05C2304)
Организм: морская свинка

