| UNIPROT | Q13586 |
| Иммуноген | Синтетический пептид, соответствующий human Stromal interaction molecule 1 |
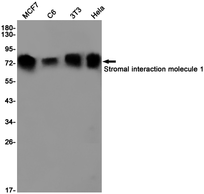
Stromal Interaction Molecule 1 Recombinant Rabbit mAb (ARM2816)
Реактивность подтвержденная:
человек, мышь, крыса
Источник (хозяин):
кролик
Валидировано для:
IHC
IP
WB
Характеристики
Техническое описание
| Каталожный номер | ARM2816 |
| Название антигена | Stromal Interaction Molecule 1 (STIM1) |
| UNIPROT | Q13586 |
| Иммуноген | Синтетический пептид, соответствующий human Stromal interaction molecule 1 |
| Английские синонимы | GOK |
Реактивность подтвержденная Нужна другая реактивность? |
человек, мышь, крыса |
| Источник (хозяин) | кролик |
| Изотип | IgG |
| Клональность | моноклональное |
| Рекомбинантное | да |
| Готовое к использованию | нет |
| Концентрация | 1 мг/мл |
| Конъюгат | По запросу: HRP, biotin, Cy3, Cy5, APC, AF488, AF594, AF405 |
| Валидировано для | IHC IP WB Иммуногистохимия; Иммунопреципитация; Вестерн-блоттинг |
| Рекомендуемые разведения | WB 1:500~1:2000; IHC 1:50~1:200; IP 1:50 |
| Метод очистки | Антигенспецифическая аффинная хроматография |
| Состав буфера | 50 нмоль Tris-Glycine(pH 7.4); 0.15M NaCl; 40% глицерин; 0.01% азид натрия и 0.05% БСА |
| Условия доставки | термобокс с аккумуляторами холода |
| Условия хранения | Сразу после получения аликвотировать и хранить при -20ºС до 12 месяцев с момента получения. Избегать повторения циклов замерзания/оттаивания |
| Срок хранения | 12 месяцев |
| Производитель | AssayVector |
|
Артикул
|
Наименование |
Производитель
|
|---|
|
Артикул
|
Наименование |
Производитель
|
|---|
Акции и предложения
Популярные продукты:
Sheep Proteasome subunit β type 5 ELISA kit (E14P1263)
Организм: овца
Rat Heat shock protein 90 Alpha ELISA kit (E02H0305)
Организм: крыса
Rat Anti Methylglyoxal Antibody ELISA kit (E02A0426)
Организм: крыса
ELISA Kit DIY Materials for Leptin Receptor (LEPR) (KSA083Mu01)
Организм: мышь
Диапазон определения: 0.156-10 нг/мл
Чувствительность: 0.063 нг/мл
Диапазон определения: 0.156-10 нг/мл
Чувствительность: 0.063 нг/мл
Monoclonal Antibody to Immunoglobulin E (IgE) (MAA545Hu21)
Источник (хозяин): мышь
Реактивность подтвержденная: человек
Валидировано для: WB
Реактивность подтвержденная: человек
Валидировано для: WB
Canine SET domain containing 1B ELISA kit (E08S0800)
Организм: собака

