| UNIPROT | P61956 |
| Иммуноген | Синтетический пептид, соответствующий human Sumo2/3/4 во внутренней части белка |
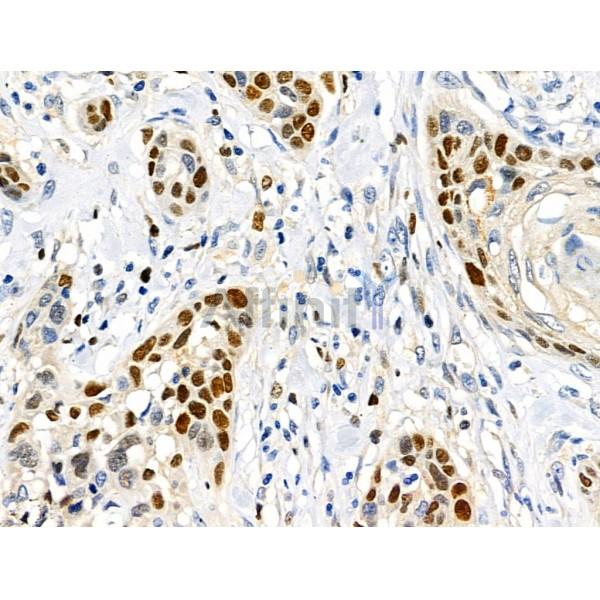
Sumo2/3/4 Antibody (DF8750)
Реактивность подтвержденная:
человек, мышь, крыса
Источник (хозяин):
кролик
Валидировано для:
IHC
WB
Характеристики
Техническое описание
| Каталожный номер | DF8750 |
| Название антигена | Small Ubiquitin Related Modifier Protein 2 (SUMO2) |
| UNIPROT | P61956 |
| Иммуноген | Синтетический пептид, соответствующий human Sumo2/3/4 во внутренней части белка |
| Английские синонимы | HSMT3, SMT3B, SMT3H2, SUMO-3, Sentrin-2, Ubiquitin-like protein SMT3B |
Реактивность подтвержденная Нужна другая реактивность? |
человек, мышь, крыса |
| Реактивность предсказываемая | свинья, рыба, корова, лошадь, кролик, собака, курица, лягушка |
| Источник (хозяин) | кролик |
| Изотип | IgG |
| Клональность | поликлональное |
| Рекомбинантное | нет |
| Готовое к использованию | нет |
| Концентрация | 1 мг/мл |
| Конъюгат | нет |
| Валидировано для | IHC WB Иммуногистохимия; Вестерн-блоттинг |
| Рекомендуемые разведения | WB: 1:1000-3000; IHC: 1:50-1:200; Оптимальное разведение определяется конечным потребителем |
| Метод очистки | Антисыворотку очищали методом аффинной хроматографии пептидов с использованием связывающей смолы SulfoLink® (Thermo Fisher Scientific) |
| Состав буфера | Rabbit IgG в PBS; pH 7.4; 150mM NaCl; 0.02% азид натрия и 50% глицерин |
| RRID | AB_2841954 |
| Условия доставки | Термобокс с аккумуляторами холода |
| Условия хранения | Хранить при -20ºС. Стабилен 12 месяцев с даты получения |
| Срок хранения | 12 месяцев |
| Производитель | Affinity |
| Ссылка на страницу товара на сайте производителя | https://www.affbiotech.com/goods-12223-DF8750-Sumo2_3_4_Antibody.html |
|
Артикул
|
Наименование |
Производитель
|
|---|
|
Артикул
|
Наименование |
Производитель
|
|---|
|
Артикул
|
Наименование |
Производитель
|
|---|
Акции и предложения
Популярные продукты:
ELISA Kit DIY Materials for Heme Oxygenase 1 (HO1) (KSA584Hu01)
Организм: человек
Диапазон определения: 0.312-20 нг/мл
Чувствительность: 0.115 нг/мл
Диапазон определения: 0.312-20 нг/мл
Чувствительность: 0.115 нг/мл
Monoclonal Antibody to Tropomyosin 3 (TPM3) (MAD449Hu22)
Источник (хозяин): мышь
Реактивность подтвержденная: человек
Валидировано для: IHC, WB
Реактивность подтвержденная: человек
Валидировано для: IHC, WB
Rabbit 14-3-3 protein eta(YWHAH) ELISA kit (E04Y0007)
Организм: кролик
Rat Arsenite methyltransferase(AS3MT) ELISA kit (E02A1694)
Организм: крыса
Диапазон определения: 10-250 нг/мл
Чувствительность: 1 нг/мл
Диапазон определения: 10-250 нг/мл
Чувствительность: 1 нг/мл
Fish Hexose-6-Phosphate Dehydrogenase ELISA kit (E17H1504)
Организм: рыба

