| UNIPROT | P63165 |
| Иммуноген | Синтетический пептид, соответствующий human Sumo 1 |
Sumo 1 Recombinant Rabbit mAb (ARM2547)
Реактивность подтвержденная:
человек, мышь, крыса
Источник (хозяин):
кролик
Валидировано для:
IHC
WB
Характеристики
Техническое описание
| Каталожный номер | ARM2547 |
| Название антигена | Small Ubiquitin Related Modifier Protein 1 (SUMO1) |
| UNIPROT | P63165 |
| Иммуноген | Синтетический пептид, соответствующий human Sumo 1 |
| Английские синонимы | GMP1, OFC10, PIC1, SMT3, SMT3C, SMT3H3, SUMO-1, UBL1, GAP-modifying protein 1, Ubiquitin-homology domain protein PIC1 |
Реактивность подтвержденная Нужна другая реактивность? |
человек, мышь, крыса |
| Источник (хозяин) | кролик |
| Изотип | IgG |
| Клональность | моноклональное |
| Рекомбинантное | да |
| Готовое к использованию | нет |
| Концентрация | 1 мг/мл |
| Конъюгат | По запросу: HRP, biotin, Cy3, Cy5, APC, AF488, AF594, AF405 |
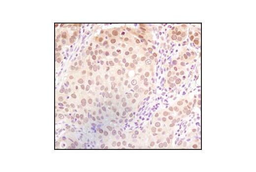
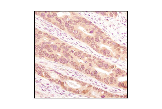
| Валидировано для | IHC WB Иммуногистохимия; Вестерн-блоттинг |
| Рекомендуемые разведения | WB 1:500~1:2000; IHC 1:50~1:200 |
| Метод очистки | Антигенспецифическая аффинная хроматография |
| Состав буфера | 50 нмоль Tris-Glycine(pH 7.4); 0.15M NaCl; 40% глицерин; 0.01% азид натрия и 0.05% БСА |
| Условия доставки | термобокс с аккумуляторами холода |
| Условия хранения | Сразу после получения аликвотировать и хранить при -20ºС до 12 месяцев с момента получения. Избегать повторения циклов замерзания/оттаивания |
| Срок хранения | 12 месяцев |
| Производитель | AssayVector |
|
Артикул
|
Наименование |
Производитель
|
|---|
|
Артикул
|
Наименование |
Производитель
|
|---|
|
Артикул
|
Наименование |
Производитель
|
|---|
Акции и предложения
Популярные продукты:
Anti-Acyl Coenzyme A Synthetase Medium Chain Family, Member 1 (ACSM1) Polyclonal Antibody (FAD669Hu01)
Источник (хозяин): кролик
Реактивность подтвержденная: человек
Валидировано для: FCM
Реактивность подтвержденная: человек
Валидировано для: FCM
Aldosterone/ALD ELISA Kit (KGK61201)
Организм: для всех
Free Triiodothyronine/fT3 ELISA Kit (KGN27202)
Организм: для всех
Monoclonal Antibody to Interleukin 12 (IL12) (MAA111Hu22)
Источник (хозяин): мышь
Реактивность подтвержденная: человек
Валидировано для: WB
Реактивность подтвержденная: человек
Валидировано для: WB
Mouse Methotrexate ELISA kit (E03M0349)
Организм: мышь

