| UNIPROT | P09758 |
| Иммуноген | Синтетический пептид, соответствующий human TACD2 |
TACD2 Recombinant Rabbit mAb (ARM1412)
Реактивность подтвержденная:
человек
Источник (хозяин):
кролик
Валидировано для:
FCM
IHC
WB
IF
ICC
Характеристики
Техническое описание
| Каталожный номер | ARM1412 |
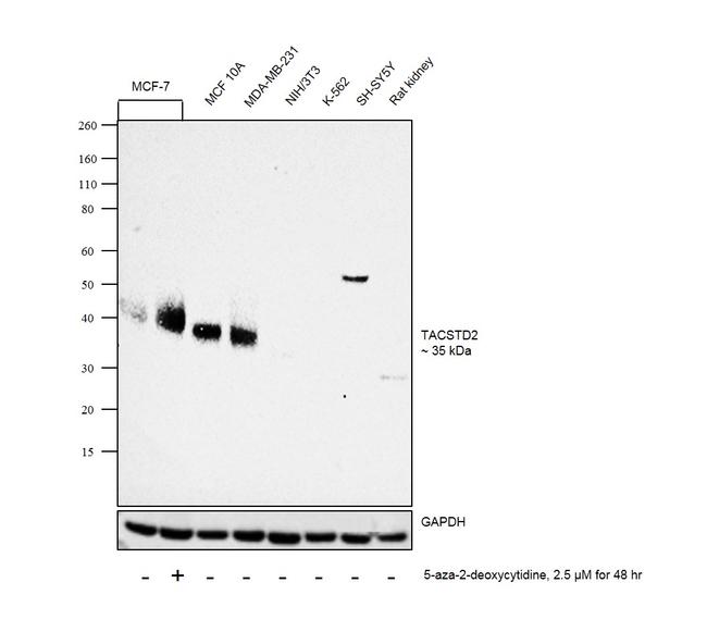
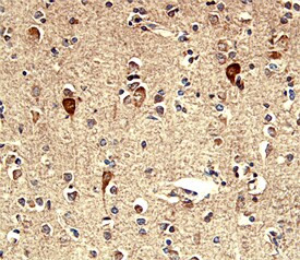
| Название антигена | Tumor Associated Calcium Signal Transducer 2 (TACSTD2) |
| UNIPROT | P09758 |
| Иммуноген | Синтетический пептид, соответствующий human TACD2 |
| Английские синонимы | EGP-1, M1S1, TROP2, Membrane component chromosome 1 surface marker 1, Pancreatic carcinoma marker protein GA733-1, Cell surface glycoprotein Trop-2 |
Реактивность подтвержденная Нужна другая реактивность? |
человек |
| Источник (хозяин) | кролик |
| Изотип | IgG |
| Клональность | моноклональное |
| Рекомбинантное | да |
| Готовое к использованию | нет |
| Концентрация | 1 мг/мл |
| Конъюгат | По запросу: HRP, biotin, Cy3, Cy5, APC, AF488, AF594, AF405 |
| Валидировано для | FCM IHC WB IF ICC Проточная цитометрия; Иммуногистохимия; Вестерн-блоттинг; Иммунофлуоресценция; Иммуноцитохимия |
| Рекомендуемые разведения | WB 1:500~1:2000; IHC 1:50~1:200; IF/ICC 1:50~1:200; FCM 1:50 |
| Метод очистки | Антигенспецифическая аффинная хроматография |
| Состав буфера | 50 нмоль Tris-Glycine(pH 7.4); 0.15M NaCl; 40% глицерин; 0.01% азид натрия и 0.05% БСА |
| Условия доставки | термобокс с аккумуляторами холода |
| Условия хранения | Сразу после получения аликвотировать и хранить при -20ºС до 12 месяцев с момента получения. Избегать повторения циклов замерзания/оттаивания |
| Срок хранения | 12 месяцев |
| Производитель | AssayVector |
|
Артикул
|
Наименование |
Производитель
|
|---|
|
Артикул
|
Наименование |
Производитель
|
|---|
|
Артикул
|
Наименование |
Производитель
|
|---|
Акции и предложения
Популярные продукты:
APC Anti-Human CD56/NCAM Antibody[5.1H11] (E-AB-F1239E)
Источник (хозяин): мышь
Реактивность подтвержденная: человек
Валидировано для: FCM
Реактивность подтвержденная: человек
Валидировано для: FCM
Porcine Guanine Deaminase ELISA kit (E07G0584)
Организм: свинья
Chicken L1 Cell Adhesion Molecule ELISA kit (E12L0003)
Организм: курица
Mouse Coagulation Factor XII ELISA kit (E03F0027)
Организм: мышь
Диапазон определения: 0.5-10 нг/мл
Чувствительность: 0.1 нг/мл
Диапазон определения: 0.5-10 нг/мл
Чувствительность: 0.1 нг/мл
Rabbit Coagulation Factor XII ELISA kit (E04F0027)
Организм: кролик
Диапазон определения: 0.5-10 нг/мл
Чувствительность: 0.1 нг/мл
Диапазон определения: 0.5-10 нг/мл
Чувствительность: 0.1 нг/мл
Recombinant Human CFL2/cofilin 2/ADF Protein (His Tag) (PKSH031115)
Источник (хозяин): E.coli
Организм: человек
Фрагмент: Ala 2-Leu 166
Теги: N-His
Биоактивность: нет
Организм: человек
Фрагмент: Ala 2-Leu 166
Теги: N-His
Биоактивность: нет

