| UNIPROT | Q92804 |
| Иммуноген | Синтетический пептид, соответствующий human TAF15 |
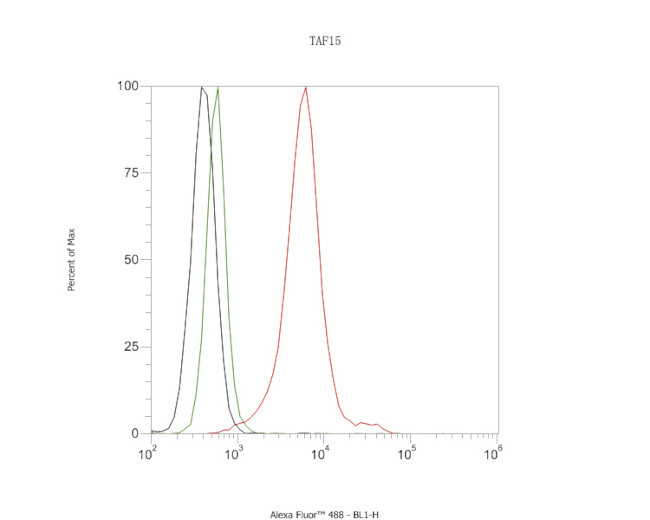
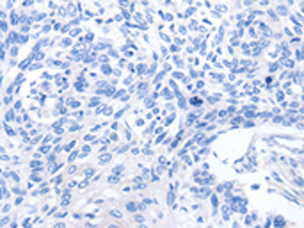
TAF15 Recombinant Rabbit mAb (ARM1849)
Реактивность подтвержденная:
человек, мышь, крыса
Источник (хозяин):
кролик
Валидировано для:
FCM
IHC
WB
IF
ICC
Характеристики
Техническое описание
| Каталожный номер | ARM1849 |
| Название антигена | TATA Box Binding Protein Associated Factor 15 (TAF15) |
| UNIPROT | Q92804 |
| Иммуноген | Синтетический пептид, соответствующий human TAF15 |
| Английские синонимы | Npl3, RBP56, TAF2N, TAFII68, hTAFII68, TATA-Binding Protein-Associated Factor 2N, 68 kDa TATA-binding protein-associated factor, RNA-binding protein 56 |
Реактивность подтвержденная Нужна другая реактивность? |
человек, мышь, крыса |
| Источник (хозяин) | кролик |
| Изотип | IgG |
| Клональность | моноклональное |
| Рекомбинантное | да |
| Готовое к использованию | нет |
| Концентрация | 1 мг/мл |
| Конъюгат | По запросу: HRP, biotin, Cy3, Cy5, APC, AF488, AF594, AF405 |
| Валидировано для | FCM IHC WB IF ICC Проточная цитометрия; Иммуногистохимия; Вестерн-блоттинг; Иммунофлуоресценция; Иммуноцитохимия |
| Рекомендуемые разведения | WB 1:500~1:2000; IHC 1:50~1:200; IF/ICC 1:50~1:200; FCM 1:50 |
| Метод очистки | Антигенспецифическая аффинная хроматография |
| Состав буфера | 50 нмоль Tris-Glycine(pH 7.4); 0.15M NaCl; 40% глицерин; 0.01% азид натрия и 0.05% БСА |
| Условия доставки | термобокс с аккумуляторами холода |
| Условия хранения | Сразу после получения аликвотировать и хранить при -20ºС до 12 месяцев с момента получения. Избегать повторения циклов замерзания/оттаивания |
| Срок хранения | 12 месяцев |
| Производитель | AssayVector |
|
Артикул
|
Наименование |
Производитель
|
|---|
|
Артикул
|
Наименование |
Производитель
|
|---|
|
Артикул
|
Наименование |
Производитель
|
|---|
Акции и предложения
Популярные продукты:
EGF Polyclonal Antibody (E-AB-66112)
Источник (хозяин): кролик
Реактивность подтвержденная: человек, мышь, крыса
Валидировано для: WB
Реактивность подтвержденная: человек, мышь, крыса
Валидировано для: WB
EGF Polyclonal Antibody (E-AB-60770)
Источник (хозяин): кролик
Реактивность подтвержденная: человек, мышь
Валидировано для: WB
Реактивность подтвержденная: человек, мышь
Валидировано для: WB
Recombinant Human Epidermal Growth Factor (HYC020M01)
Источник (хозяин): дрожжи
Организм: человек
Теги: без тегов
Биоактивность: да
Организм: человек
Теги: без тегов
Биоактивность: да

