| UNIPROT | Q03519 |
| Иммуноген | Синтетический пептид, соответствующий human TAP2 во внутренней части белка |
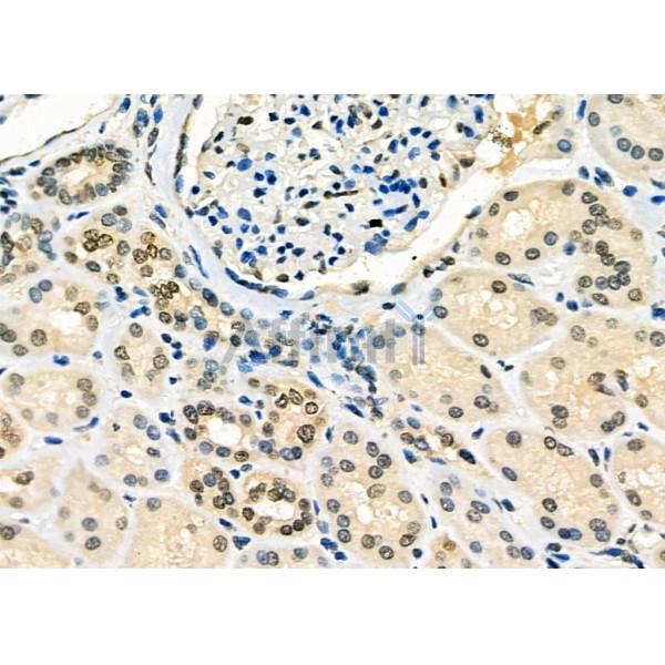
TAP2 Antibody (DF6498)
Реактивность подтвержденная:
человек, мышь, крыса
Источник (хозяин):
кролик
Валидировано для:
IHC
WB
Характеристики
Техническое описание
| Каталожный номер | DF6498 |
| Название антигена | Antigen Peptide Transporter 2 (TAP2) |
| UNIPROT | Q03519 |
| Иммуноген | Синтетический пептид, соответствующий human TAP2 во внутренней части белка |
| Английские синонимы | ABC18, ABCB3, APT2, PSF2, RING11, Y1, ATP-binding cassette sub-family B member 3, Peptide supply factor 2, Peptide transporter involved in antigen processing 2 |
Реактивность подтвержденная Нужна другая реактивность? |
человек, мышь, крыса |
| Реактивность предсказываемая | свинья, лошадь, кролик, лягушка |
| Источник (хозяин) | кролик |
| Изотип | IgG |
| Клональность | поликлональное |
| Рекомбинантное | нет |
| Готовое к использованию | нет |
| Концентрация | 1 мг/мл |
| Конъюгат | нет |
| Валидировано для | IHC WB Иммуногистохимия; Вестерн-блоттинг |
| Рекомендуемые разведения | WB: 1:500-1:2000; IHC: 1:50-1:200; Оптимальное разведение определяется конечным потребителем |
| Метод очистки | Антисыворотку очищали методом аффинной хроматографии пептидов с использованием связывающей смолы SulfoLink® (Thermo Fisher Scientific) |
| Состав буфера | Rabbit IgG в PBS; pH 7.4; 150mM NaCl; 0.02% азид натрия и 50% глицерин |
| RRID | AB_2838460 |
| Условия доставки | Термобокс с аккумуляторами холода |
| Условия хранения | Хранить при -20ºС. Стабилен 12 месяцев с даты получения |
| Срок хранения | 12 месяцев |
| Производитель | Affinity |
| Ссылка на страницу товара на сайте производителя | https://www.affbiotech.com/goods-5300-DF6498-TAP2_Antibody.html |
|
Артикул
|
Наименование |
Производитель
|
|---|
|
Артикул
|
Наименование |
Производитель
|
|---|
|
Артикул
|
Наименование |
Производитель
|
|---|
Акции и предложения
Популярные продукты:
Monkey exportin 6 ELISA Kit (E09X0018)
Организм: обезьяна
Sheep D Dimer ELISA kit (E14D0224)
Организм: овца
Диапазон определения: 0.5-10 мкг/мл
Чувствительность: 0.1 мкг/мл
Диапазон определения: 0.5-10 мкг/мл
Чувствительность: 0.1 мкг/мл
Cox2 Polyclonal Antibody (E-AB-68287)
Источник (хозяин): кролик
Реактивность подтвержденная: человек, мышь, крыса
Валидировано для: IHC, WB
Реактивность подтвержденная: человек, мышь, крыса
Валидировано для: IHC, WB
CAPN1 Polyclonal Antibody (E-AB-10192)
Источник (хозяин): кролик
Реактивность подтвержденная: человек, мышь, крыса
Валидировано для: WB
Реактивность подтвержденная: человек, мышь, крыса
Валидировано для: WB
TAP2 Antibody (DF6498)
Источник (хозяин): кролик
Реактивность подтвержденная: человек, мышь, крыса
Валидировано для: IHC, WB
Реактивность подтвержденная: человек, мышь, крыса
Валидировано для: IHC, WB
MDM2 Antibody (DF6100)
Источник (хозяин): кролик
Реактивность подтвержденная: человек, мышь, крыса, обезьяна
Валидировано для: WB, IF, ICC
Реактивность подтвержденная: человек, мышь, крыса, обезьяна
Валидировано для: WB, IF, ICC

