| UNIPROT | P10636 |
| Иммуноген | Синтетический пептид, соответствующий human Tau |
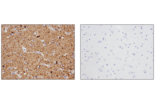
Tau Recombinant Rabbit mAb (ARM2524)
Реактивность подтвержденная:
человек, мышь, крыса
Источник (хозяин):
кролик
Валидировано для:
FCM
WB
IF
ICC
Характеристики
Техническое описание
| Каталожный номер | ARM2524 |
| Название антигена | Microtubule Associated Protein Tau (MAPt) |
| UNIPROT | P10636 |
| Иммуноген | Синтетический пептид, соответствующий human Tau |
| Английские синонимы | DDPAC, FTDP-17, MAPTL, MSTD, MTBT1, MTBT2, PPND, Neurofibrillary tangle protein, Tau Protein, Paired helical filament-tau, G Protein Beta1/Gamma2 Subunit-Interacting Factor 1 |
| Русские синонимы | МАР |
Реактивность подтвержденная Нужна другая реактивность? |
человек, мышь, крыса |
| Источник (хозяин) | кролик |
| Изотип | IgG |
| Клональность | моноклональное |
| Рекомбинантное | да |
| Готовое к использованию | нет |
| Концентрация | 1 мг/мл |
| Конъюгат | По запросу: HRP, biotin, Cy3, Cy5, APC, AF488, AF594, AF405 |
| Валидировано для | FCM WB IF ICC Проточная цитометрия; Вестерн-блоттинг; Иммунофлуоресценция; Иммуноцитохимия |
| Рекомендуемые разведения | WB 1:500~1:2000; IF/ICC 1:50~1:200; FCM 1:50 |
| Метод очистки | Антигенспецифическая аффинная хроматография |
| Состав буфера | 50 нмоль Tris-Glycine(pH 7.4); 0.15M NaCl; 40% глицерин; 0.01% азид натрия и 0.05% БСА |
| Условия доставки | термобокс с аккумуляторами холода |
| Условия хранения | Сразу после получения аликвотировать и хранить при -20ºС до 12 месяцев с момента получения. Избегать повторения циклов замерзания/оттаивания |
| Срок хранения | 12 месяцев |
| Производитель | AssayVector |
|
Артикул
|
Наименование |
Производитель
|
|---|
|
Артикул
|
Наименование |
Производитель
|
|---|
|
Артикул
|
Наименование |
Производитель
|
|---|
|
Артикул
|
Наименование |
Производитель
|
|---|
|
Артикул
|
Наименование |
Производитель
|
|---|
|
Артикул
|
Наименование |
Производитель
|
|---|
|
Артикул
|
Наименование |
Производитель
|
|---|
|
Артикул
|
Наименование |
Производитель
|
|---|
|
Артикул
|
Наименование |
Производитель
|
|---|
Акции и предложения
Популярные продукты:
ELISA Kit DIY Materials for NADPH Oxidase 4 (NOX4) (KSB924Mu01)
Организм: мышь
Диапазон определения: 0.156-10 нг/мл
Чувствительность: 0.056 нг/мл
Диапазон определения: 0.156-10 нг/мл
Чувствительность: 0.056 нг/мл
Recombinant Mouse Coagulation Factor IX/F9 Protein (His Tag) (PDMM100188)
Источник (хозяин): HEK293
Организм: мышь
Фрагмент: Met 1-Thr 471
Теги: C-His
Биоактивность: нет
Организм: мышь
Фрагмент: Met 1-Thr 471
Теги: C-His
Биоактивность: нет
Anti-Human LMO2 Nanobody (SAA1172) (RHD68301)
Источник (хозяин): альпака
Реактивность подтвержденная: человек
Валидировано для: ELISA
Реактивность подтвержденная: человек
Валидировано для: ELISA
Tau Polyclonal Antibody (E-AB-65652)
Источник (хозяин): кролик
Реактивность подтвержденная: человек, мышь, крыса
Валидировано для: IF
Реактивность подтвержденная: человек, мышь, крыса
Валидировано для: IF
PD-1 Polyclonal Antibody (E-AB-68281)
Источник (хозяин): кролик
Реактивность подтвержденная: человек, мышь, крыса
Валидировано для: IF, WB
Реактивность подтвержденная: человек, мышь, крыса
Валидировано для: IF, WB

