| UNIPROT | P13693 |
| Иммуноген | Синтетический пептид, соответствующий human TCTP |
TCTP Recombinant Rabbit mAb (ARM2690)
Реактивность подтвержденная:
человек, мышь, крыса
Источник (хозяин):
кролик
Валидировано для:
FCM
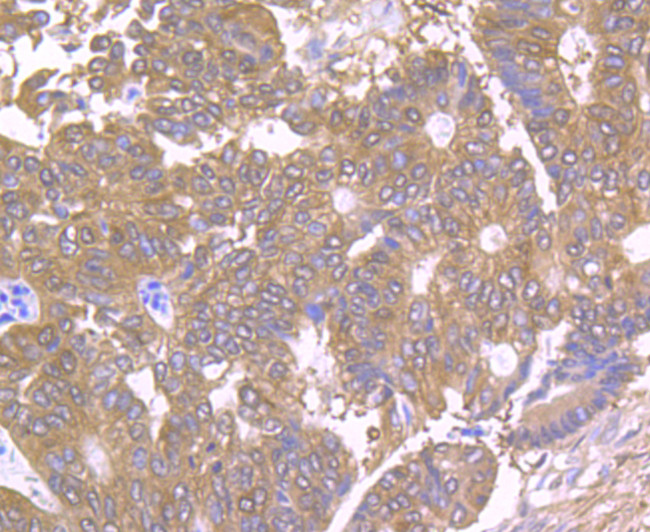
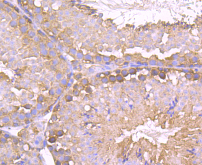
IHC
IP
WB
IF
ICC
Характеристики
Техническое описание
| Каталожный номер | ARM2690 |
| Название антигена | Tumor Protein, Translationally Controlled 1 (TPT1) |
| UNIPROT | P13693 |
| Иммуноген | Синтетический пептид, соответствующий human TCTP |
| Английские синонимы | HRF, TCTP, p02, p23, Fortilin, Translationally-Controlled Tumor Protein, Histamine-releasing factor |
Реактивность подтвержденная Нужна другая реактивность? |
человек, мышь, крыса |
| Источник (хозяин) | кролик |
| Изотип | IgG |
| Клональность | моноклональное |
| Рекомбинантное | да |
| Готовое к использованию | нет |
| Концентрация | 1 мг/мл |
| Конъюгат | По запросу: HRP, biotin, Cy3, Cy5, APC, AF488, AF594, AF405 |
| Валидировано для | FCM IHC IP WB IF ICC Проточная цитометрия; Иммуногистохимия; Иммунопреципитация; Вестерн-блоттинг; Иммунофлуоресценция; Иммуноцитохимия |
| Рекомендуемые разведения | WB 1:500~1:2000; IHC 1:50~1:200; IF/ICC 1:50~1:200; FCM 1:50; IP 1:50 |
| Метод очистки | Антигенспецифическая аффинная хроматография |
| Состав буфера | 50 нмоль Tris-Glycine(pH 7.4); 0.15M NaCl; 40% глицерин; 0.01% азид натрия и 0.05% БСА |
| Условия доставки | термобокс с аккумуляторами холода |
| Условия хранения | Сразу после получения аликвотировать и хранить при -20ºС до 12 месяцев с момента получения. Избегать повторения циклов замерзания/оттаивания |
| Срок хранения | 12 месяцев |
| Производитель | AssayVector |
|
Артикул
|
Наименование |
Производитель
|
|---|
|
Артикул
|
Наименование |
Производитель
|
|---|
|
Артикул
|
Наименование |
Производитель
|
|---|
|
Артикул
|
Наименование |
Производитель
|
|---|
Акции и предложения
Популярные продукты:
Rabbit Krueppel like factor 9(KLF9) ELISA kit (E04K0091)
Организм: кролик
Bovine Cullin 1(CUL1) ELISA kit (E11C2181)
Организм: корова
Sheep Ankyrin 1(ANK1) ELISA kit (E14A1448)
Организм: овца
Goat Integrin β 2(ITGB2) ELISA kit (E06I0443)
Организм: коза
Anti-DENV-1/2/3/4 Envelope protein E/EDIII A strand Antibody (4E11#) (RVV19933)
Источник (хозяин): человек
Реактивность подтвержденная: вирусы
Валидировано для: ELISA
Реактивность подтвержденная: вирусы
Валидировано для: ELISA
ZSCAN20 Polyclonal Antibody (E-AB-90827)
Источник (хозяин): кролик
Реактивность подтвержденная: человек, мышь
Валидировано для: WB
Реактивность подтвержденная: человек, мышь
Валидировано для: WB

