| UNIPROT | Q07654 |
| Иммуноген | Синтетический пептид, соответствующий human TFF3 во внутренней части белка |
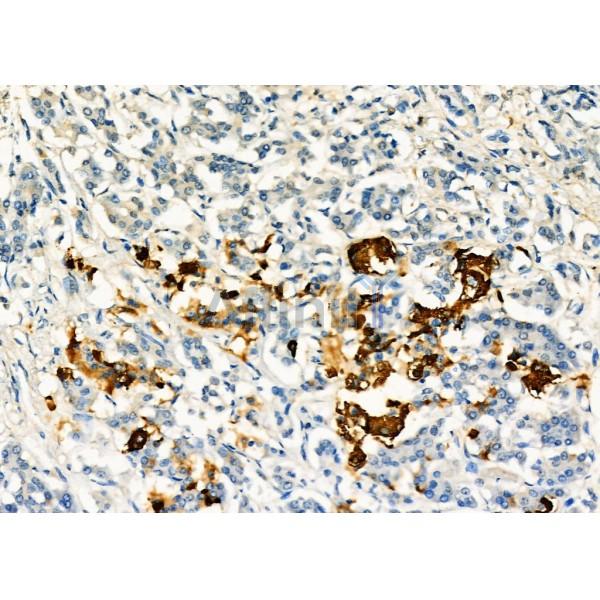
TFF3 Antibody (DF6731)
Реактивность подтвержденная:
человек, мышь
Источник (хозяин):
кролик
Валидировано для:
IHC
WB
IF
ICC
Характеристики
Техническое описание
| Каталожный номер | DF6731 |
| Название антигена | Trefoil Factor 3, Intestinal (TFF3) |
| UNIPROT | Q07654 |
| Иммуноген | Синтетический пептид, соответствующий human TFF3 во внутренней части белка |
| Английские синонимы | HITF, ITF3, TFI, HP1.B |
Реактивность подтвержденная Нужна другая реактивность? |
человек, мышь |
| Реактивность предсказываемая | свинья, корова, лошадь, овца |
| Источник (хозяин) | кролик |
| Изотип | IgG |
| Клональность | поликлональное |
| Рекомбинантное | нет |
| Готовое к использованию | нет |
| Концентрация | 1 мг/мл |
| Конъюгат | нет |
| Валидировано для | IHC WB IF ICC Иммуногистохимия; Вестерн-блоттинг; Иммунофлуоресценция; Иммуноцитохимия |
| Рекомендуемые разведения | WB: 1:500-1:2000; IHC: 1:50-1:200; IF/ICC: 1:100-1:500; Оптимальное разведение определяется конечным потребителем |
| Метод очистки | Антисыворотку очищали методом аффинной хроматографии пептидов с использованием связывающей смолы SulfoLink® (Thermo Fisher Scientific) |
| Состав буфера | Rabbit IgG в PBS; pH 7.4; 150mM NaCl; 0.02% азид натрия и 50% глицерин |
| RRID | AB_2838693 |
| Условия доставки | Термобокс с аккумуляторами холода |
| Условия хранения | Хранить при -20ºС. Стабилен 12 месяцев с даты получения |
| Срок хранения | 12 месяцев |
| Производитель | Affinity |
| Ссылка на страницу товара на сайте производителя | https://www.affbiotech.com/goods-5533-DF6731-TFF3_Antibody.html |
|
Артикул
|
Наименование |
Производитель
|
|---|
|
Артикул
|
Наименование |
Производитель
|
|---|
|
Артикул
|
Наименование |
Производитель
|
|---|
|
Артикул
|
Наименование |
Производитель
|
|---|
|
Артикул
|
Наименование |
Производитель
|
|---|
|
Артикул
|
Наименование |
Производитель
|
|---|
Акции и предложения
Популярные продукты:
APC Anti-Human CD56/NCAM Antibody[5.1H11] (E-AB-F1239E)
Источник (хозяин): мышь
Реактивность подтвержденная: человек
Валидировано для: FCM
Реактивность подтвержденная: человек
Валидировано для: FCM
Porcine Guanine Deaminase ELISA kit (E07G0584)
Организм: свинья
Chicken L1 Cell Adhesion Molecule ELISA kit (E12L0003)
Организм: курица
Mouse Coagulation Factor XII ELISA kit (E03F0027)
Организм: мышь
Диапазон определения: 0.5-10 нг/мл
Чувствительность: 0.1 нг/мл
Диапазон определения: 0.5-10 нг/мл
Чувствительность: 0.1 нг/мл
Rabbit Coagulation Factor XII ELISA kit (E04F0027)
Организм: кролик
Диапазон определения: 0.5-10 нг/мл
Чувствительность: 0.1 нг/мл
Диапазон определения: 0.5-10 нг/мл
Чувствительность: 0.1 нг/мл
Recombinant Human CFL2/cofilin 2/ADF Protein (His Tag) (PKSH031115)
Источник (хозяин): E.coli
Организм: человек
Фрагмент: Ala 2-Leu 166
Теги: N-His
Биоактивность: нет
Организм: человек
Фрагмент: Ala 2-Leu 166
Теги: N-His
Биоактивность: нет

