| UNIPROT | P01135 |
| Иммуноген | Рекомбинантный белок human TGF alpha |
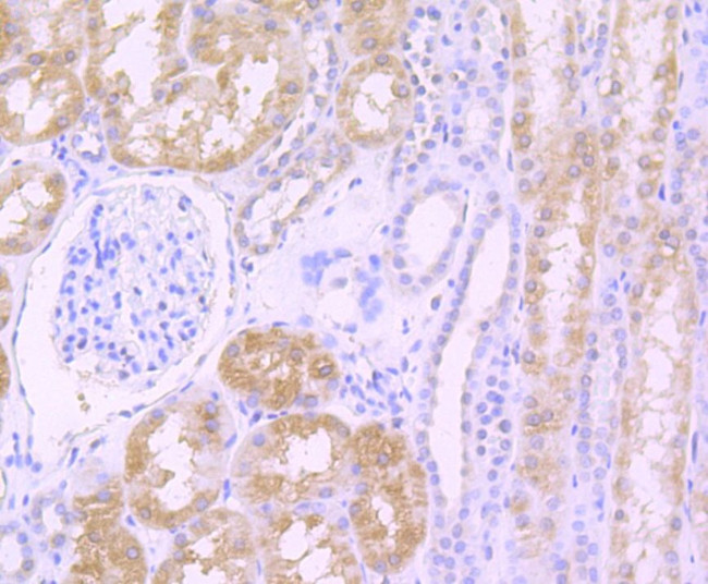
TGF alpha Recombinant Rabbit mAb (ARM2772)
Реактивность подтвержденная:
человек
Источник (хозяин):
кролик
Валидировано для:
IHC
IP
WB
IF
ICC
Характеристики
Техническое описание
| Каталожный номер | ARM2772 |
| Название антигена | Transforming Growth Factor Alpha (TGFa) |
| UNIPROT | P01135 |
| Иммуноген | Рекомбинантный белок human TGF alpha |
| Английские синонимы | ETGF, TGF-A, Protransforming Growth Factor alpha, EGF-Like TGF |
Реактивность подтвержденная Нужна другая реактивность? |
человек |
| Источник (хозяин) | кролик |
| Изотип | IgG |
| Клональность | моноклональное |
| Рекомбинантное | да |
| Готовое к использованию | нет |
| Концентрация | 1 мг/мл |
| Конъюгат | По запросу: HRP, biotin, Cy3, Cy5, APC, AF488, AF594, AF405 |
| Валидировано для | IHC IP WB IF ICC Иммуногистохимия; Иммунопреципитация; Вестерн-блоттинг; Иммунофлуоресценция; Иммуноцитохимия |
| Рекомендуемые разведения | WB 1:500~1:2000; IHC 1:50~1:200; IF/ICC 1:50~1:200; IP 1:50 |
| Метод очистки | Антигенспецифическая аффинная хроматография |
| Состав буфера | 50 нмоль Tris-Glycine(pH 7.4); 0.15M NaCl; 40% глицерин; 0.01% азид натрия и 0.05% БСА |
| Условия доставки | термобокс с аккумуляторами холода |
| Условия хранения | Сразу после получения аликвотировать и хранить при -20ºС до 12 месяцев с момента получения. Избегать повторения циклов замерзания/оттаивания |
| Срок хранения | 12 месяцев |
| Производитель | AssayVector |
|
Артикул
|
Наименование |
Производитель
|
|---|
|
Артикул
|
Наименование |
Производитель
|
|---|
|
Артикул
|
Наименование |
Производитель
|
|---|
|
Артикул
|
Наименование |
Производитель
|
|---|
|
Артикул
|
Наименование |
Производитель
|
|---|
|
Артикул
|
Наименование |
Производитель
|
|---|
|
Артикул
|
Наименование |
Производитель
|
|---|
|
Артикул
|
Наименование |
Производитель
|
|---|
|
Артикул
|
Наименование |
Производитель
|
|---|
|
Артикул
|
Наименование |
Производитель
|
|---|
Акции и предложения
Популярные продукты:
Guinea Pig CCAAT/enhancer-binding protein gamma ELISA kit (E05C1606)
Организм: морская свинка
Human CCAAT/enhancer-binding protein gamma ELISA kit (E01C1606)
Организм: человек
Recombinant Human TPBG/5T4 (C-mFc) (PKSH033920)
Источник (хозяин): HEK293
Организм: человек
Фрагмент: Ser32-Ser355
Теги: C-mFc
Биоактивность: нет
Организм: человек
Фрагмент: Ser32-Ser355
Теги: C-mFc
Биоактивность: нет
Anti-Human ROS1 Antibody (SAA1737) (RHC37401)
Источник (хозяин): мышь
Реактивность подтвержденная: человек
Валидировано для: ELISA
Реактивность подтвержденная: человек
Валидировано для: ELISA

