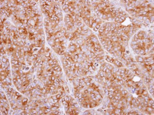
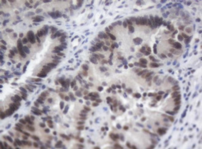
Назначение
моноклональное антитело от производителя AssayVector к Tripeptidyl Peptidase I (TPP1) источник — кролик предназначено для детекции целевого антигена в биологических образцах. Продукт характеризуется подтвержденной реактивностью к человек, мышь, крыса.
Преимущества
- Высокая специфичность и аффинность
- Концентрация: 1 мг/мл
- Оптимизированный состав буфера: 50 нмоль Tris-Glycine(pH 7.4); 0.15M NaCl; 40% глицерин; 0.01% азид натрия и 0.05% БСА
- Стабильность: 12 месяцев
Применение в исследованиях
Условия хранения
Срок годности: 12 месяцев. Сразу после получения аликвотировать и хранить при -20ºС до 12 месяцев с момента получения. Избегать повторения циклов замерзания/оттаивания. Рекомендуется соблюдать температурный режим при транспортировке и хранении.

