| UNIPROT | P21980 |
| Иммуноген | Синтетический пептид, соответствующий human Transglutaminase 2 |
Transglutaminase 2 Recombinant Rabbit mAb (ARM2646)
Реактивность подтвержденная:
человек, мышь
Источник (хозяин):
кролик
Валидировано для:
IHC
IP
WB
Характеристики
Техническое описание
| Каталожный номер | ARM2646 |
| Название антигена | Transglutaminase 2, Tissue (TGM2) |
| UNIPROT | P21980 |
| Иммуноген | Синтетический пептид, соответствующий human Transglutaminase 2 |
| Английские синонимы | tTG, TG2, C Polypeptide,Protein-Glutamine-Gamma-Glutamyltransferase, Transglutaminase C, Transglutaminase H |
Реактивность подтвержденная Нужна другая реактивность? |
человек, мышь |
| Источник (хозяин) | кролик |
| Изотип | IgG |
| Клональность | моноклональное |
| Рекомбинантное | да |
| Готовое к использованию | нет |
| Концентрация | 1 мг/мл |
| Конъюгат | По запросу: HRP, biotin, Cy3, Cy5, APC, AF488, AF594, AF405 |
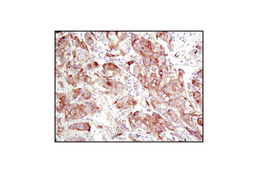
| Валидировано для | IHC IP WB Иммуногистохимия; Иммунопреципитация; Вестерн-блоттинг |
| Рекомендуемые разведения | WB 1:500~1:2000; IHC 1:50~1:200; IP 1:50 |
| Метод очистки | Антигенспецифическая аффинная хроматография |
| Состав буфера | 50 нмоль Tris-Glycine(pH 7.4); 0.15M NaCl; 40% глицерин; 0.01% азид натрия и 0.05% БСА |
| Условия доставки | термобокс с аккумуляторами холода |
| Условия хранения | Сразу после получения аликвотировать и хранить при -20ºС до 12 месяцев с момента получения. Избегать повторения циклов замерзания/оттаивания |
| Срок хранения | 12 месяцев |
| Производитель | AssayVector |
|
Артикул
|
Наименование |
Производитель
|
|---|
|
Артикул
|
Наименование |
Производитель
|
|---|
|
Артикул
|
Наименование |
Производитель
|
|---|
|
Артикул
|
Наименование |
Производитель
|
|---|
|
Артикул
|
Наименование |
Производитель
|
|---|
Акции и предложения
Популярные продукты:
Anti-FMC63 scFv Monoclonal Antibody (SAA1996), PerCP (RAD10841)
Источник (хозяин): кролик
Реактивность подтвержденная: для всех
Валидировано для: ELISA, FCM
Реактивность подтвержденная: для всех
Валидировано для: ELISA, FCM
Anti-Vitamin D Binding Protein (DBP) Monoclonal Antibody (FAB810Ra06)
Источник (хозяин): мышь
Реактивность подтвержденная: крыса
Валидировано для: FCM
Реактивность подтвержденная: крыса
Валидировано для: FCM
ELISA Kit DIY Materials for Transmembrane Protein 173 (TMEM173) (KSN011Hu01)
Организм: человек
Диапазон определения: 0.156-10 нг/мл
Чувствительность: 0.055 нг/мл
Диапазон определения: 0.156-10 нг/мл
Чувствительность: 0.055 нг/мл
Chicken F box/LRR repeat protein 3(FBXL3) ELISA kit (E12F0324)
Организм: курица
Human Mediator of RNA polymerase II transcription subunit 27(MED27) ELISA kit (E01M0080)
Организм: человек
Диапазон определения: 0.5-10 нг/мл
Чувствительность: 0.1 нг/мл
Диапазон определения: 0.5-10 нг/мл
Чувствительность: 0.1 нг/мл

