| UNIPROT | Q99816 |
| Иммуноген | Синтетический пептид, соответствующий human TSG101 |
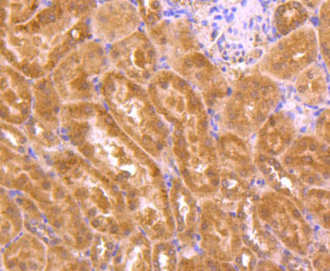
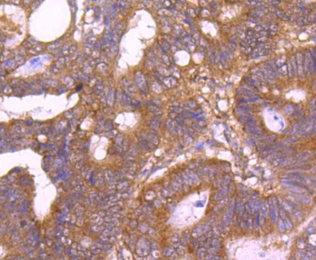
TSG101 Recombinant Rabbit mAb (ARM2609)
Реактивность подтвержденная:
человек, мышь, крыса
Источник (хозяин):
кролик
Валидировано для:
FCM
IHC
WB
IF
ICC
Характеристики
Техническое описание
| Каталожный номер | ARM2609 |
| Название антигена | Tumor Susceptibility Gene 101 (TSG101) |
| UNIPROT | Q99816 |
| Иммуноген | Синтетический пептид, соответствующий human TSG101 |
| Английские синонимы | TSG10, VPS23, Tumor Susceptibility Gene 10, ESCRT-I complex subunit TSG101 |
Реактивность подтвержденная Нужна другая реактивность? |
человек, мышь, крыса |
| Источник (хозяин) | кролик |
| Изотип | IgG |
| Клональность | моноклональное |
| Рекомбинантное | да |
| Готовое к использованию | нет |
| Концентрация | 1 мг/мл |
| Конъюгат | По запросу: HRP, biotin, Cy3, Cy5, APC, AF488, AF594, AF405 |
| Валидировано для | FCM IHC WB IF ICC Проточная цитометрия; Иммуногистохимия; Вестерн-блоттинг; Иммунофлуоресценция; Иммуноцитохимия |
| Рекомендуемые разведения | WB 1:500~1:2000; IHC 1:50~1:200; IF/ICC 1:50~1:200; FCM 1:50 |
| Метод очистки | Антигенспецифическая аффинная хроматография |
| Состав буфера | 50 нмоль Tris-Glycine(pH 7.4); 0.15M NaCl; 40% глицерин; 0.01% азид натрия и 0.05% БСА |
| Условия доставки | термобокс с аккумуляторами холода |
| Условия хранения | Сразу после получения аликвотировать и хранить при -20ºС до 12 месяцев с момента получения. Избегать повторения циклов замерзания/оттаивания |
| Срок хранения | 12 месяцев |
| Производитель | AssayVector |
|
Артикул
|
Наименование |
Производитель
|
|---|
|
Артикул
|
Наименование |
Производитель
|
|---|
|
Артикул
|
Наименование |
Производитель
|
|---|
Акции и предложения
Популярные продукты:
ELISA Kit DIY Materials for Carbohydrate Antigen 19-9 (CA19-9) (KSA156Hu01)
Организм: человек
Диапазон определения: 0.78-50 Ед/мл
Чувствительность: 0.28 Ед/мл
Диапазон определения: 0.78-50 Ед/мл
Чувствительность: 0.28 Ед/мл
Anti-Human CD157/BST1 Antibody (A2), FITC (FHG26611)
Источник (хозяин): мышь
Реактивность подтвержденная: человек
Валидировано для: FCM
Реактивность подтвержденная: человек
Валидировано для: FCM
TSG101 Recombinant Rabbit mAb (ARM2609)
Источник (хозяин): кролик
Реактивность подтвержденная: человек, мышь, крыса
Валидировано для: FCM, IHC, WB, IF, ICC
Реактивность подтвержденная: человек, мышь, крыса
Валидировано для: FCM, IHC, WB, IF, ICC
IQCF1 Antibody (DF15914)
Источник (хозяин): кролик
Реактивность подтвержденная: человек
Реактивность подтвержденная: человек
COL6A6 Antibody (DF15305)
Источник (хозяин): кролик
Реактивность подтвержденная: человек
Реактивность подтвержденная: человек
LY6G5C Antibody (DF15192)
Источник (хозяин): кролик
Реактивность подтвержденная: человек
Реактивность подтвержденная: человек

