Ваш браузер устарел и не обеспечивает полноценную и безопасную работу с сайтом. Пожалуйста обновите браузер чтобы улучшить взаимодействие с сайтом.
Мы обновили сайт, попробуйте новые функции в личном кабинете!

+7 (495) 798-02-48

Twist1 Antibody (AF4009)

Реактивность подтвержденная: человек, мышь, крыса
Источник (хозяин): кролик
Валидировано для:
IHC
WB
IF
ICC
Валидация Affinity AF4009 - 2114
Валидация Affinity AF4009 - 2114
Western blot analysis of extracts from JK, Raji and HL-60 cells using Twist1 Antibody
Валидация Affinity AF4009 - 2115
Валидация Affinity AF4009 - 2115
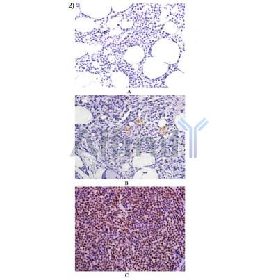
Immunohistochemical staining for Twist1 in representative tissue samples. (A) Low nuclear expression in the BM biopsy specimens of MM patients without skeletal EMD. (B) Low nuclear expression in the BM biopsy specimens of MM patients with skeletal EMD. (C) High nuclear expression in skeletal EMD of MM patients. Original magnification х400.
Валидация Affinity AF4009 - 2114
Валидация Affinity AF4009 - 2115
Ближайшая поставка
29.05.26
Характеристики
Техническое описание
Каталожный номер AF4009
Название антигена Twist Transcription Factor (TWIST)
UNIPROT Q15672
Иммуноген Синтетический пептид, соответствующий human Twist1 на N-конце
Английские синонимы ACS3, BPES2, BPES3, SCS, Class A basic helix-loop-helix protein 38, Acrocephalosyndactyly 3, Saethre-Chotzen Syndrome, Blepharophimosis,Epicanthus Inversus And Ptosis 3
Реактивность подтвержденная
Нужна другая реактивность?
человек, мышь, крыса
Реактивность предсказываемая свинья, корова, курица, лягушка
Источник (хозяин) кролик
Изотип IgG
Клональность поликлональное
Рекомбинантное нет
Готовое к использованию нет
Концентрация 1 мг/мл
Конъюгат нет
Валидировано для
IHC
WB
IF
ICC
Иммуногистохимия; Вестерн-блоттинг; Иммунофлуоресценция; Иммуноцитохимия
Рекомендуемые разведения WB: 1:500-1:2000; IHC: 1:50-1:200; IF/ICC: 1:100-1:500; Оптимальное разведение определяется конечным потребителем
Метод очистки Антисыворотку очищали методом аффинной хроматографии пептидов с использованием связывающей смолы SulfoLink® (Thermo Fisher Scientific)
Состав буфера Rabbit IgG в PBS; pH 7.4; 150mM NaCl; 0.02% азид натрия и 50% глицерин
RRID AB_2835337
Условия доставки Термобокс с аккумуляторами холода
Условия хранения Хранить при -20ºС. Стабилен 12 месяцев с даты получения
Срок хранения 12 месяцев
Производитель Affinity
Ссылка на страницу товара на сайте производителя https://www.affbiotech.com/goods-2085-AF4009-Twist1_Antibody.html

Назначение

поликлональное антитело от производителя Affinity к Twist Transcription Factor (TWIST) источник — кролик предназначено для детекции целевого антигена в биологических образцах. Продукт характеризуется подтвержденной реактивностью к человек, мышь, крыса.

Преимущества

  • Высокая специфичность и аффинность
  • Концентрация: 1 мг/мл
  • Оптимизированный состав буфера: Rabbit IgG в PBS; pH 7.4; 150mM NaCl; 0.02% азид натрия и 50% глицерин
  • Стабильность: 12 месяцев

Применение в исследованиях

Антитело валидировано для методов: IHC, WB, IF, ICC. Подходит для научных исследований в области иммунологии, клеточной биологии и молекулярной диагностики.

Условия хранения

Срок годности: 12 месяцев. Хранить при -20ºС. Стабилен 12 месяцев с даты получения. Рекомендуется соблюдать температурный режим при транспортировке и хранении.
UNIPROT Q15672
Иммуноген Синтетический пептид, соответствующий human Twist1 на N-конце
Артикул
Наименование
Производитель
Артикул
Наименование
Производитель
Артикул
Наименование
Производитель
Артикул
Наименование
Производитель

С нами успешно сотрудничают:

Московский государственный университет им. Ломоносова
Московский государственный университет им. Ломоносова
Московский государственный университет им. Ломоносова
МФТИ
МФТИ
МФТИ
Центр вирусологии и биотехнологии „Вектор“
Центр вирусологии и биотехнологии „Вектор“
Центр вирусологии и биотехнологии „Вектор“
Институт физиологии имени Павлова
Институт физиологии имени Павлова
Институт физиологии имени Павлова
Сеченовский университет
Сеченовский университет
Сеченовский университет
Исследовательский центр им. Алмазова
Исследовательский центр им. Алмазова
Исследовательский центр им. Алмазова
BIOCAD
BIOCAD
BIOCAD
Университет Сириус
Университет Сириус
Университет Сириус
Р-Фарм
Р-Фарм
Р-Фарм
Сколтех
Сколтех
Сколтех
Курчатовский институт
Курчатовский институт
Курчатовский институт
ИБХ РАН
ИБХ РАН
ИБХ РАН
НИЦ эпидемиологии и микробиологии им. Н.Ф.Гамалеи
НИЦ эпидемиологии и микробиологии им. Н.Ф.Гамалеи
НИЦ эпидемиологии и микробиологии им. Н.Ф.Гамалеи
Томский НИМЦ
Томский НИМЦ
Томский НИМЦ
ФИЦ ВИЖ имени Л.К. Эрнста
ФИЦ ВИЖ имени Л.К. Эрнста
ФИЦ ВИЖ имени Л.К. Эрнста
Фонд "Наука - Детям"
Фонд "Наука - Детям"
Фонд "Наука - Детям"
Институт цитологии и генетики СО РАН
Институт цитологии и генетики СО РАН
Институт цитологии и генетики СО РАН
Генериум
Генериум
Генериум

Новости

0
0
0