| UNIPROT | Q86Y07 |
| Иммуноген | Синтетический пептид, соответствующий human VRK2 во внутренней части белка |
VRK2 Antibody (DF4480)
Реактивность подтвержденная:
человек, мышь
Источник (хозяин):
кролик
Валидировано для:
IHC
WB
IF
ICC
Характеристики
Техническое описание
| Каталожный номер | DF4480 |
| Название антигена | Vaccinia Related Kinase 2 (VRK2) |
| UNIPROT | Q86Y07 |
| Иммуноген | Синтетический пептид, соответствующий human VRK2 во внутренней части белка |
| Английские синонимы | Serine/threonine-protein kinase VRK2 |
Реактивность подтвержденная Нужна другая реактивность? |
человек, мышь |
| Реактивность предсказываемая | крыса, лошадь, овца |
| Источник (хозяин) | кролик |
| Изотип | IgG |
| Клональность | поликлональное |
| Рекомбинантное | нет |
| Готовое к использованию | нет |
| Концентрация | 1 мг/мл |
| Конъюгат | нет |
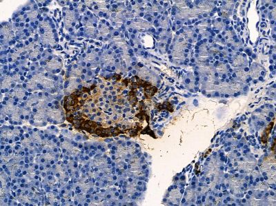
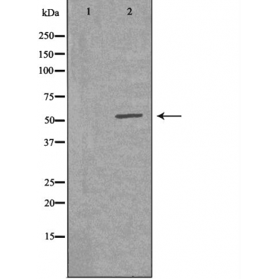
| Валидировано для | IHC WB IF ICC Иммуногистохимия; Вестерн-блоттинг; Иммунофлуоресценция; Иммуноцитохимия |
| Рекомендуемые разведения | IHC: 1:50-1:200; WB: 1:500-1:1000; IF/ICC: 1:100-1:500; Оптимальное разведение определяется конечным потребителем |
| Метод очистки | Антисыворотку очищали методом аффинной хроматографии пептидов с использованием связывающей смолы SulfoLink® (Thermo Fisher Scientific) |
| Состав буфера | Rabbit IgG в PBS; pH 7.4; 150mM NaCl; 0.02% азид натрия и 50% глицерин |
| RRID | AB_2836831 |
| Условия доставки | Термобокс с аккумуляторами холода |
| Условия хранения | Хранить при -20ºС. Стабилен 12 месяцев с даты получения |
| Срок хранения | 12 месяцев |
| Производитель | Affinity |
| Ссылка на страницу товара на сайте производителя | https://www.affbiotech.com/goods-3608-DF4480-VRK2_Antibody.html |
|
Артикул
|
Наименование |
Производитель
|
|---|
|
Артикул
|
Наименование |
Производитель
|
|---|
Акции и предложения
Популярные продукты:
STXBP2 Mouse Monoclonal Antibody (BF8577)
Источник (хозяин): мышь
Реактивность подтвержденная: человек, мышь
Валидировано для: WB
Реактивность подтвержденная: человек, мышь
Валидировано для: WB
Chicken Radixin(RDX) ELISA kit (E12R0401)
Организм: курица
Rabbit Immunosuppressive Acidic Protein ELISA kit (E04I0052)
Организм: кролик
Canine Interferon β ELISA kit (E08I0344)
Организм: собака
Диапазон определения: 50-1000 пг/мл
Чувствительность: 1 пг/мл
Диапазон определения: 50-1000 пг/мл
Чувствительность: 1 пг/мл
KRIBIOLISA Omalizumab (XOLAIR) ELISA (KBI1021)
Организм: человек
Диапазон определения: 0 - 160 нг/мл
Чувствительность: 1 нг/мл
Диапазон определения: 0 - 160 нг/мл
Чувствительность: 1 нг/мл
Recombinant PRRSV 3CL/NSP4 Protein, N-His (YVV33101)
Источник (хозяин): E.coli
Организм: вирусы
Фрагмент: Gly1780-Glu1983
Теги: N-His
Биоактивность: нет
Организм: вирусы
Фрагмент: Gly1780-Glu1983
Теги: N-His
Биоактивность: нет

