| UNIPROT | O75083 |
| Иммуноген | Синтетический пептид, соответствующий human WDR1 |
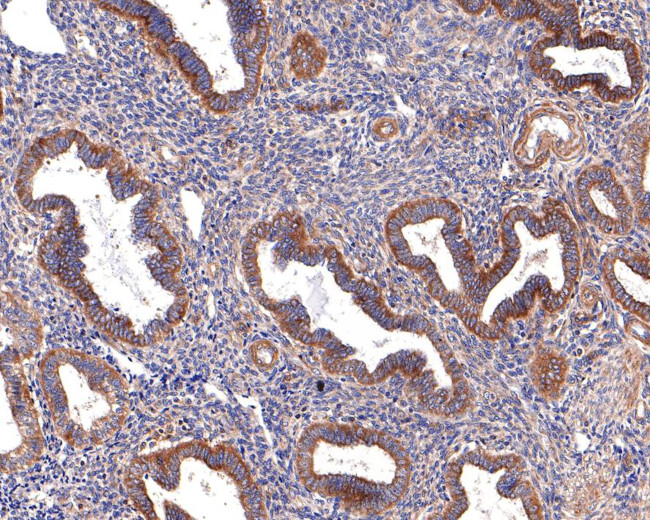
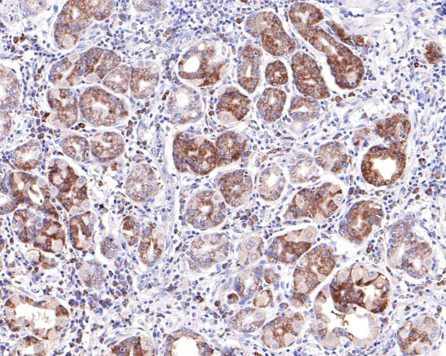
WDR1 Recombinant Rabbit mAb (ARM1213)
Реактивность подтвержденная:
человек, мышь, крыса
Источник (хозяин):
кролик
Валидировано для:
IHC
WB
IF
ICC
Характеристики
Техническое описание
| Каталожный номер | ARM1213 |
| Название антигена | WD Repeat Containing Domain Protein 1 (WDR1) |
| UNIPROT | O75083 |
| Иммуноген | Синтетический пептид, соответствующий human WDR1 |
| Английские синонимы | AIP1, NORI-1, Actin-interacting protein 1 |
Реактивность подтвержденная Нужна другая реактивность? |
человек, мышь, крыса |
| Источник (хозяин) | кролик |
| Изотип | IgG |
| Клональность | моноклональное |
| Рекомбинантное | да |
| Готовое к использованию | нет |
| Концентрация | 1 мг/мл |
| Конъюгат | По запросу: HRP, biotin, Cy3, Cy5, APC, AF488, AF594, AF405 |
| Валидировано для | IHC WB IF ICC Иммуногистохимия; Вестерн-блоттинг; Иммунофлуоресценция; Иммуноцитохимия |
| Рекомендуемые разведения | WB 1:500~1:2000; IHC 1:50~1:200; IF/ICC 1:50~1:200 |
| Метод очистки | Антигенспецифическая аффинная хроматография |
| Состав буфера | 50 нмоль Tris-Glycine(pH 7.4); 0.15M NaCl; 40% глицерин; 0.01% азид натрия и 0.05% БСА |
| Условия доставки | термобокс с аккумуляторами холода |
| Условия хранения | Сразу после получения аликвотировать и хранить при -20ºС до 12 месяцев с момента получения. Избегать повторения циклов замерзания/оттаивания |
| Срок хранения | 12 месяцев |
| Производитель | AssayVector |
|
Артикул
|
Наименование |
Производитель
|
|---|
|
Артикул
|
Наименование |
Производитель
|
|---|
Акции и предложения
Популярные продукты:
Goat Ceramide kinase(CERK) ELISA kit (E06C1622)
Организм: коза
Monkey Growth Differentiation Factor 10 ELISA kit (E09G0121)
Организм: обезьяна
Porcine Transforming Growth Factor β 3 ELISA kit (E07T0168)
Организм: свинья
Rabbit S Antigen ELISA kit (E04S0054)
Организм: кролик
Bovine Cofilin 2, Muscle ELISA kit (E11C0470)
Организм: корова
Диапазон определения: 0.5-10 нг/мл
Чувствительность: 0.1 нг/мл
Диапазон определения: 0.5-10 нг/мл
Чувствительность: 0.1 нг/мл

