| UNIPROT | O43293 |
| Иммуноген | Синтетический пептид, соответствующий human ZIP Kinase во внутренней части белка |
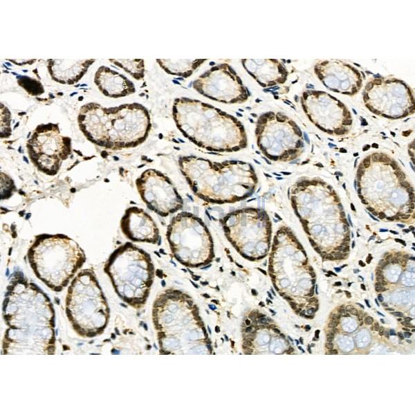
ZIP Kinase Antibody (DF7863)
Реактивность подтвержденная:
человек, мышь, крыса
Источник (хозяин):
кролик
Валидировано для:
IHC
WB
IF
ICC
Характеристики
Техническое описание
| Каталожный номер | DF7863 |
| Название антигена | Death Associated Protein Kinase 3 (DAPK3) |
| UNIPROT | O43293 |
| Иммуноген | Синтетический пептид, соответствующий human ZIP Kinase во внутренней части белка |
| Английские синонимы | ZIP, ZIPK, Dlk, DAP-like kinase, MYPT1 kinase, Zipper-interacting protein kinase |
Реактивность подтвержденная Нужна другая реактивность? |
человек, мышь, крыса |
| Реактивность предсказываемая | свинья, корова, лошадь, овца, собака, курица |
| Источник (хозяин) | кролик |
| Изотип | IgG |
| Клональность | поликлональное |
| Рекомбинантное | нет |
| Готовое к использованию | нет |
| Концентрация | 1 мг/мл |
| Конъюгат | нет |
| Валидировано для | IHC WB IF ICC Иммуногистохимия; Вестерн-блоттинг; Иммунофлуоресценция; Иммуноцитохимия |
| Рекомендуемые разведения | WB: 1:1000-3000; IF/ICC: 1:100-1:500; IHC: 1:50-1:200; Оптимальное разведение определяется конечным потребителем |
| Метод очистки | Антисыворотку очищали методом аффинной хроматографии пептидов с использованием связывающей смолы SulfoLink® (Thermo Fisher Scientific) |
| Состав буфера | Rabbit IgG в PBS; pH 7.4; 150mM NaCl; 0.02% азид натрия и 50% глицерин |
| RRID | AB_2841294 |
| Условия доставки | Термобокс с аккумуляторами холода |
| Условия хранения | Хранить при -20ºС. Стабилен 12 месяцев с даты получения |
| Срок хранения | 12 месяцев |
| Производитель | Affinity |
| Ссылка на страницу товара на сайте производителя | https://www.affbiotech.com/goods-11562-DF7863-ZIP_Kinase_Antibody.html |
|
Артикул
|
Наименование |
Производитель
|
|---|
|
Артикул
|
Наименование |
Производитель
|
|---|
Акции и предложения
Популярные продукты:
Bovine 5-Hydroxytryptamine Receptor 2A ELISA Kit (E11H1416)
Организм: корова
Rat elongation factor 2 ELISA kit (E02E0398)
Организм: крыса
Monkey Fascin ELISA kit (E09F0134)
Организм: обезьяна
Bovine Vitamin C ELISA kit (E11V0022)
Организм: корова
Rabbit C Reactive Protein ELISA kit (E04C0009)
Организм: кролик
Диапазон определения: 5-100 нг/мл
Чувствительность: 1 нг/мл
Диапазон определения: 5-100 нг/мл
Чувствительность: 1 нг/мл
Chicken Complement Component 7 ELISA kit (E12C0354)
Организм: курица

