| UNIPROT | Q13541 |
| Иммуноген | Синтетический пептид, соответствующий human eIF4EBP1 |
4E BP1 Recombinant Rabbit mAb (ARM2781)
Реактивность подтвержденная:
человек, мышь, крыса
Источник (хозяин):
кролик
Валидировано для:
FCM
IHC
IP
WB
IF
ICC
Характеристики
Техническое описание
| Каталожный номер | ARM2781 |
| Название антигена | Eukaryotic Translation Initiation Factor 4E Binding Protein 1 (EIF4EBP1) |
| UNIPROT | Q13541 |
| Иммуноген | Синтетический пептид, соответствующий human eIF4EBP1 |
| Английские синонимы | 4EBP1, BP-1, PHAS-I, Phosphorylated Heat And Acid-Stable Protein Regulated By Insulin 1 |
Реактивность подтвержденная Нужна другая реактивность? |
человек, мышь, крыса |
| Источник (хозяин) | кролик |
| Изотип | IgG |
| Клональность | моноклональное |
| Рекомбинантное | да |
| Готовое к использованию | нет |
| Концентрация | 1 мг/мл |
| Конъюгат | По запросу: HRP, biotin, Cy3, Cy5, APC, AF488, AF594, AF405 |
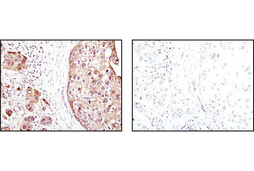
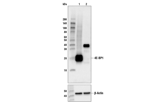
| Валидировано для | FCM IHC IP WB IF ICC Проточная цитометрия; Иммуногистохимия; Иммунопреципитация; Вестерн-блоттинг; Иммунофлуоресценция; Иммуноцитохимия |
| Рекомендуемые разведения | WB 1:500~1:2000; IHC 1:50~1:200; IF/ICC 1:50~1:200; FCM 1:50; IP 1:50 |
| Метод очистки | Антигенспецифическая аффинная хроматография |
| Состав буфера | 50 нмоль Tris-Glycine(pH 7.4); 0.15M NaCl; 40% глицерин; 0.01% азид натрия и 0.05% БСА |
| Условия доставки | термобокс с аккумуляторами холода |
| Условия хранения | Сразу после получения аликвотировать и хранить при -20ºС до 12 месяцев с момента получения. Избегать повторения циклов замерзания/оттаивания |
| Срок хранения | 12 месяцев |
| Производитель | AssayVector |
|
Артикул
|
Наименование |
Производитель
|
|---|
|
Артикул
|
Наименование |
Производитель
|
|---|
|
Артикул
|
Наименование |
Производитель
|
|---|
|
Артикул
|
Наименование |
Производитель
|
|---|
|
Артикул
|
Наименование |
Производитель
|
|---|
|
Артикул
|
Наименование |
Производитель
|
|---|
|
Артикул
|
Наименование |
Производитель
|
|---|
Акции и предложения
Популярные продукты:
Guinea Pig Parathyroid Hormone Related Protein ELISA kit (E05P0574)
Организм: морская свинка
Anti-GABARAPL2 Antibody (R1Z76) (RHF36701)
Источник (хозяин): кролик
Реактивность подтвержденная: человек, крыса
Валидировано для: WB
Реактивность подтвержденная: человек, крыса
Валидировано для: WB
Anti-Human IL5 Antibody (SAA0372), PE (FHC13612)
Источник (хозяин): мышь
Реактивность подтвержденная: человек
Валидировано для: ELISA, FCM
Реактивность подтвержденная: человек
Валидировано для: ELISA, FCM
4E BP1 Recombinant Rabbit mAb (ARM2781)
Источник (хозяин): кролик
Реактивность подтвержденная: человек, мышь, крыса
Валидировано для: FCM, IHC, IP, WB, IF, ICC
Реактивность подтвержденная: человек, мышь, крыса
Валидировано для: FCM, IHC, IP, WB, IF, ICC
MRPS11 Antibody (DF8809)
Источник (хозяин): кролик
Реактивность подтвержденная: человек, мышь
Валидировано для: IHC, WB, IF, ICC
Реактивность подтвержденная: человек, мышь
Валидировано для: IHC, WB, IF, ICC
4E-BP1 Antibody (DF6380)
Источник (хозяин): кролик
Реактивность подтвержденная: человек, мышь, крыса
Валидировано для: IHC, WB, IF, ICC
Реактивность подтвержденная: человек, мышь, крыса
Валидировано для: IHC, WB, IF, ICC

