| UNIPROT | P10398 |
| Иммуноген | Рекомбинантный белок human A RAF |
A RAF Recombinant Rabbit mAb (ARM2617)
Реактивность подтвержденная:
человек
Источник (хозяин):
кролик
Валидировано для:
FCM
IHC
WB
IF
ICC
Характеристики
Техническое описание
| Каталожный номер | ARM2617 |
| Название антигена | V-Raf Murine Sarcoma 3611 Viral Oncogene Homolog (ARAF) |
| UNIPROT | P10398 |
| Иммуноген | Рекомбинантный белок human A RAF |
| Английские синонимы | A-RAF, ARAF1, PKS2, PKS, Serine/threonine-protein kinase A-Raf |
Реактивность подтвержденная Нужна другая реактивность? |
человек |
| Источник (хозяин) | кролик |
| Изотип | IgG |
| Клональность | моноклональное |
| Рекомбинантное | да |
| Готовое к использованию | нет |
| Концентрация | 1 мг/мл |
| Конъюгат | По запросу: HRP, biotin, Cy3, Cy5, APC, AF488, AF594, AF405 |
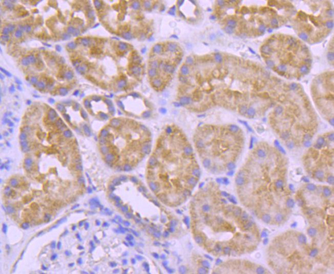
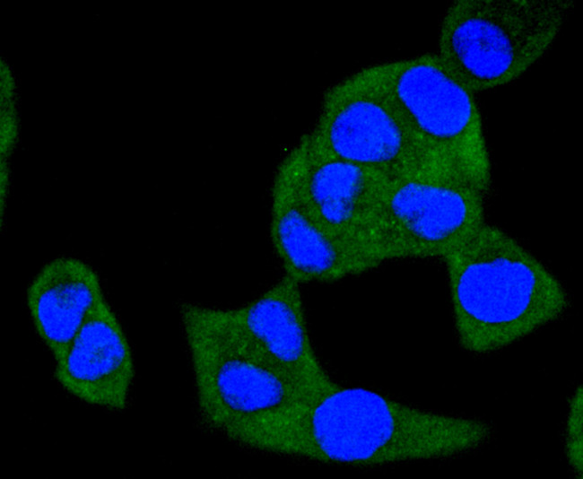
| Валидировано для | FCM IHC WB IF ICC Проточная цитометрия; Иммуногистохимия; Вестерн-блоттинг; Иммунофлуоресценция; Иммуноцитохимия |
| Рекомендуемые разведения | WB 1:500~1:2000; IHC 1:50~1:200; IF/ICC 1:50~1:200; FCM 1:50 |
| Метод очистки | Антигенспецифическая аффинная хроматография |
| Состав буфера | 50 нмоль Tris-Glycine(pH 7.4); 0.15M NaCl; 40% глицерин; 0.01% азид натрия и 0.05% БСА |
| Условия доставки | термобокс с аккумуляторами холода |
| Условия хранения | Сразу после получения аликвотировать и хранить при -20ºС до 12 месяцев с момента получения. Избегать повторения циклов замерзания/оттаивания |
| Срок хранения | 12 месяцев |
| Производитель | AssayVector |
|
Артикул
|
Наименование |
Производитель
|
|---|
|
Артикул
|
Наименование |
Производитель
|
|---|
|
Артикул
|
Наименование |
Производитель
|
|---|
Акции и предложения
Популярные продукты:
AFM Mouse Monoclonal Antibody (BF8620)
Источник (хозяин): мышь
Реактивность подтвержденная: человек, мышь, крыса
Валидировано для: WB
Реактивность подтвержденная: человек, мышь, крыса
Валидировано для: WB
Anti-Human NOXO1 Polyclonal Antibody (PHP15601)
Источник (хозяин): кролик
Реактивность подтвержденная: человек
Валидировано для: ELISA, WB
Реактивность подтвержденная: человек
Валидировано для: ELISA, WB
Rat Growth Regulated Oncogene β ELISA kit (E02G0261)
Организм: крыса
Rat Glycerol Arachidonic Acid ELISA kit (E02G0578)
Организм: крыса
Rat galanin prepropeptide (GAL) ELISA kit (E02G0413)
Организм: крыса
Canine Ceruloplasmin ELISA kit (E08C0090)
Организм: собака

