| UNIPROT | Q8NFM4 |
| Иммуноген | Синтетический пептид, соответствующий human ADCY4 во внутренней части белка |
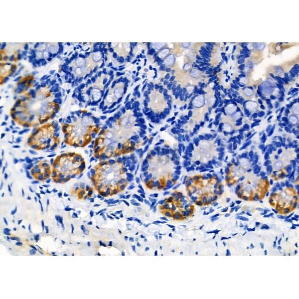
ADCY4 Antibody (DF3507)
Реактивность подтвержденная:
человек, мышь, крыса
Источник (хозяин):
кролик
Валидировано для:
IHC
WB
IF
ICC
Характеристики
Техническое описание
| Каталожный номер | DF3507 |
| Название антигена | Adenylate Cyclase 4 (ADCY4) |
| UNIPROT | Q8NFM4 |
| Иммуноген | Синтетический пептид, соответствующий human ADCY4 во внутренней части белка |
| Английские синонимы | ATP pyrophosphate-lyase 4, Adenylate cyclase type IV |
Реактивность подтвержденная Нужна другая реактивность? |
человек, мышь, крыса |
| Реактивность предсказываемая | свинья, корова, лошадь, овца, кролик, собака |
| Источник (хозяин) | кролик |
| Изотип | IgG |
| Клональность | поликлональное |
| Рекомбинантное | нет |
| Готовое к использованию | нет |
| Концентрация | 1 мг/мл |
| Конъюгат | нет |
| Валидировано для | IHC WB IF ICC Иммуногистохимия; Вестерн-блоттинг; Иммунофлуоресценция; Иммуноцитохимия |
| Рекомендуемые разведения | WB: 1:500-1:1000; IF/ICC: 1:100-1:500; IHC: 1:50-1:200; Оптимальное разведение определяется конечным потребителем |
| Метод очистки | Антисыворотку очищали методом аффинной хроматографии пептидов с использованием связывающей смолы SulfoLink® (Thermo Fisher Scientific) |
| Состав буфера | Rabbit IgG в PBS; pH 7.4; 150mM NaCl; 0.02% азид натрия и 50% глицерин |
| RRID | AB_2835869 |
| Условия доставки | Термобокс с аккумуляторами холода |
| Условия хранения | Хранить при -20ºС. Стабилен 12 месяцев с даты получения |
| Срок хранения | 12 месяцев |
| Производитель | Affinity |
| Ссылка на страницу товара на сайте производителя | https://www.affbiotech.com/goods-2643-DF3507-ADCY4_Antibody.html |
|
Артикул
|
Наименование |
Производитель
|
|---|
|
Артикул
|
Наименование |
Производитель
|
|---|
Акции и предложения
Популярные продукты:
Chicken Cyclophosphamide ELISA kit (E12C0842)
Организм: курица
Rat Cyclophosphamide ELISA kit (E02C0842)
Организм: крыса
Human Cyclophosphamide ELISA kit (E01C0842)
Организм: человек
Диапазон определения: 25-500 нг/мл
Чувствительность: 1 нг/мл
Диапазон определения: 25-500 нг/мл
Чувствительность: 1 нг/мл
Chicken Cingulin(CGN) ELISA kit (E12C1644)
Организм: курица
Mouse CTD Phosphatase 1 ELISA kit (E03C0049)
Организм: мышь
Human Mesothelin ELISA kit (E01M0519)
Организм: человек
Диапазон определения: 1-25 нг/мл
Чувствительность: 0.1 нг/мл
Диапазон определения: 1-25 нг/мл
Чувствительность: 0.1 нг/мл

