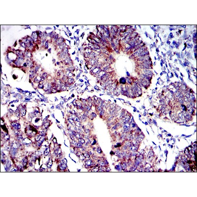
AIF Antibody (BF0591)
Акции и предложения
Популярные продукты:
Monoclonal Antibody to Carbonic Anhydrase XII (CA12) (MAD079Hu23)
Источник (хозяин): мышь
Реактивность подтвержденная: человек
Валидировано для: WB
Реактивность подтвержденная: человек
Валидировано для: WB
Mini Samples ELISA Kit for Heat Shock Protein 47 (HSP47) (MEA266Mu)
Организм: мышь
Диапазон определения: 125-8,000 пг/мл
Чувствительность: 0.054 нг/мл
Диапазон определения: 125-8,000 пг/мл
Чувствительность: 0.054 нг/мл
Rabbit Methylcytosine Dioxygenase TET1 ELISA Kit (E04T0868)
Организм: кролик
Rabbit Dynein light chain 4, axonemal(DNAL4) ELISA kit (E04D0289)
Организм: кролик
Rat Ubiquitin fold modifier 1(UFM1) ELISA kit (E02U0050)
Организм: крыса

