| UNIPROT | Q13541 |
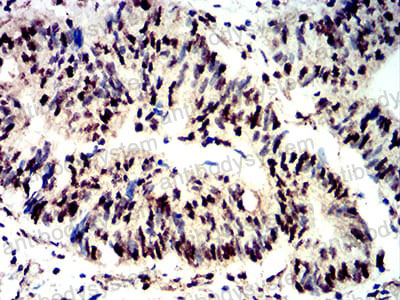
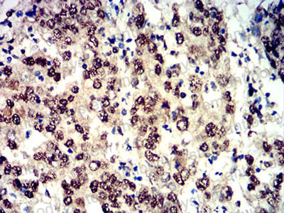
Anti-Phospho-4E-BP1 (Ser65) Antibody (R3S67) (RHG57907)
Реактивность подтвержденная:
человек
Источник (хозяин):
мышь
Валидировано для:
ELISA
FCM
IHC
Характеристики
Техническое описание
| Русское название | RHG57907 Моноклональное антитело к фосфо-4E-BP1 (Ser65) (R3S67) <AntibodySystem,Китай> |
| Каталожный номер | RHG57907 |
| Название антигена | Eukaryotic Translation Initiation Factor 4E Binding Protein 1 (EIF4EBP1) |
| UNIPROT | Q13541 |
| Английские синонимы | 4EBP1, BP-1, PHAS-I, Phosphorylated Heat And Acid-Stable Protein Regulated By Insulin 1 |
Реактивность подтвержденная Нужна другая реактивность? |
человек |
| Источник (хозяин) | мышь |
| Изотип | IgG1 |
| Клональность | моноклональное |
| Клон | R3S67 |
| Рекомбинантное | да |
| Готовое к использованию | нет |
| Концентрация | 1 мг/мл |
| Конъюгат | нет |
| Валидировано для | ELISA FCM IHC Иммуноферментный анализ; Проточная цитометрия; Иммуногистохимия |
| Рекомендуемые разведения | ELISA: 1:10000, FCM: 1:200-1:400, IHC: 1:200-1:1000 |
| Метод очистки | Очистка с белками A/G из супернатанта клеточной культуры |
| Чистота | >95% |
| Состав буфера | 0.01M PBS, pH 7.4, 0.05% натрия азид |
| Условия хранения | Хранить при 4°C не более 1-2 недель. Хранить при -20°C - 12 месяцев |
| Срок хранения | 12 месяцев |
| Производитель | AntibodySystem |
| Ссылка на страницу товара на сайте производителя | https://www.antibodysystem.com/product/36332.html |
|
Артикул
|
Наименование |
Производитель
|
|---|
|
Артикул
|
Наименование |
Производитель
|
|---|
|
Артикул
|
Наименование |
Производитель
|
|---|
|
Артикул
|
Наименование |
Производитель
|
|---|
|
Артикул
|
Наименование |
Производитель
|
|---|
|
Артикул
|
Наименование |
Производитель
|
|---|
|
Артикул
|
Наименование |
Производитель
|
|---|
Акции и предложения
Популярные продукты:
EZH2 Mouse Monoclonal Antibody (BF8390)
Источник (хозяин): мышь
Реактивность подтвержденная: человек
Валидировано для: WB
Реактивность подтвержденная: человек
Валидировано для: WB
Anti-Myxovirus Resistance 1 (MX1) Polyclonal Antibody (FAL763Hu01)
Источник (хозяин): кролик
Реактивность подтвержденная: человек
Валидировано для: FCM
Реактивность подтвержденная: человек
Валидировано для: FCM
ELISA Kit DIY Materials for Thiosulfate Sulfurtransferase (TST) (KSC817Mu01)
Организм: мышь
Диапазон определения: 0.156-10 нг/мл
Чувствительность: 0.059 нг/мл
Диапазон определения: 0.156-10 нг/мл
Чувствительность: 0.059 нг/мл
Polyclonal Antibody to Hemagglutinin (HA) (PAX160Ge01)
Источник (хозяин): кролик
Реактивность подтвержденная: для всех
Валидировано для: ICC, IHC, WB
Реактивность подтвержденная: для всех
Валидировано для: ICC, IHC, WB
Monkey Vitamin D2 ELISA kit (E09V0029)
Организм: обезьяна
Anti-Drp1 Antibody (N131A/38) (RHA71601)
Источник (хозяин): мышь
Реактивность подтвержденная: для всех
Валидировано для: IHC, WB
Реактивность подтвержденная: для всех
Валидировано для: IHC, WB

