| UNIPROT | Q16678 |
| Иммуноген | Рекомбинантный белок human CYP1B1 |
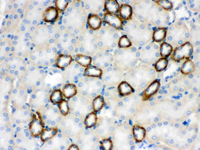
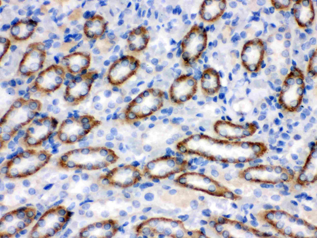
CYP1B1 Recombinant Rabbit mAb (ARM1481)
Реактивность подтвержденная:
человек, мышь, крыса
Источник (хозяин):
кролик
Валидировано для:
FCM
IHC
WB
Характеристики
Техническое описание
| Каталожный номер | ARM1481 |
| Название антигена | Cytochrome P450 1B1 (CYP1B1) |
| UNIPROT | Q16678 |
| Иммуноген | Рекомбинантный белок human CYP1B1 |
| Английские синонимы | CP1B, GLC3A, Cytochrome P450,Family 1,Subfamily B,Polypeptide 1, Glaucoma 3,Primary Infantile |
Реактивность подтвержденная Нужна другая реактивность? |
человек, мышь, крыса |
| Источник (хозяин) | кролик |
| Изотип | IgG |
| Клональность | моноклональное |
| Рекомбинантное | да |
| Готовое к использованию | нет |
| Концентрация | 1 мг/мл |
| Конъюгат | По запросу: HRP, biotin, Cy3, Cy5, APC, AF488, AF594, AF405 |
| Валидировано для | FCM IHC WB Проточная цитометрия; Иммуногистохимия; Вестерн-блоттинг |
| Рекомендуемые разведения | WB 1:500~1:2000; IHC 1:50~1:200; FCM 1:50 |
| Метод очистки | Антигенспецифическая аффинная хроматография |
| Состав буфера | 50 нмоль Tris-Glycine(pH 7.4); 0.15M NaCl; 40% глицерин; 0.01% азид натрия и 0.05% БСА |
| Условия доставки | термобокс с аккумуляторами холода |
| Условия хранения | Сразу после получения аликвотировать и хранить при -20ºС до 12 месяцев с момента получения. Избегать повторения циклов замерзания/оттаивания |
| Срок хранения | 12 месяцев |
| Производитель | AssayVector |
|
Артикул
|
Наименование |
Производитель
|
|---|
|
Артикул
|
Наименование |
Производитель
|
|---|
|
Артикул
|
Наименование |
Производитель
|
|---|
Акции и предложения
Популярные продукты:
Rabbit Claspin(CLSPN) ELISA kit (E04C1815)
Организм: кролик
Monkey Copine 4(CPNE4) ELISA kit (E09C2013)
Организм: обезьяна
Rat Aminolevulinate Delta Dehydratase ELISA kit (E02A0053)
Организм: крыса
Mouse Transferrin ELISA kit (E03T0130)
Организм: мышь
Диапазон определения: 5-100 нг/мл
Чувствительность: 1 нг/мл
Диапазон определения: 5-100 нг/мл
Чувствительность: 1 нг/мл
Chicken reverse Triiodothyronine ELISA kit (E12R0607)
Организм: курица
Canine reverse Triiodothyronine ELISA kit (E08R0607)
Организм: собака

