| UNIPROT | Q05193 |
| Иммуноген | Очищенный фрагмент рекомбинантного белка human Dynamin-1 экспрессированный в E. Coli |
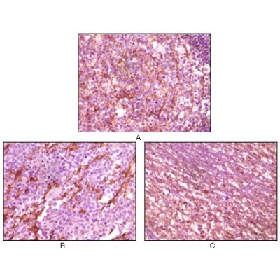
Dynamin-1 Antibody (BF0267)
Реактивность подтвержденная:
человек
Источник (хозяин):
мышь
Валидировано для:
ELISA
IHC
WB
Характеристики
Техническое описание
| Каталожный номер | BF0267 |
| Название антигена | Dynamin 1 (DNM1) |
| UNIPROT | Q05193 |
| Иммуноген | Очищенный фрагмент рекомбинантного белка human Dynamin-1 экспрессированный в E. Coli |
Реактивность подтвержденная Нужна другая реактивность? |
человек |
| Источник (хозяин) | мышь |
| Изотип | IgG1 |
| Клональность | моноклональное |
| Клон | AFB1545 |
| Рекомбинантное | нет |
| Готовое к использованию | нет |
| Концентрация | 1 мг/мл |
| Конъюгат | нет |
| Валидировано для | ELISA IHC WB Иммуноферментный анализ; Иммуногистохимия; Вестерн-блоттинг |
| Рекомендуемые разведения | ELISA: 1:10000; WB: 1:500-1:2000; IHC: 1:200-1:1000; Оптимальное разведение определяется конечным потребителем |
| Метод очистки | Аффинная хроматография |
| Состав буфера | Mouse IgG1 в PBS (без Mg2+ и Ca2+); pH 7.4; 150mM NaCl; 0.02% азид натрия и 50% глицерин |
| RRID | AB_2833570 |
| Условия доставки | Термобокс с аккумуляторами холода |
| Условия хранения | Хранить при -20ºС. Стабилен 12 месяцев с даты получения |
| Срок хранения | 12 месяцев |
| Производитель | Affinity |
| Ссылка на страницу товара на сайте производителя | https://www.affbiotech.com/goods-311-BF0267-Dynamin_1_Antibody.html |
|
Артикул
|
Наименование |
Производитель
|
|---|
|
Артикул
|
Наименование |
Производитель
|
|---|
|
Артикул
|
Наименование |
Производитель
|
|---|
Акции и предложения
Популярные продукты:
ELISA Kit DIY Materials for Complement Component 5a Receptor 1 (C5aR1) (KSB308Hu11)
Организм: человек
Диапазон определения: 312-20000 пг/мл
Чувствительность: 123 пг/мл
Диапазон определения: 312-20000 пг/мл
Чувствительность: 123 пг/мл
Monkey Transcription Factor A, Mitochondrial ELISA kit (E09T0870)
Организм: обезьяна
Bovine Corneodesmosin ELISA kit (E11C0406)
Организм: корова

