| UNIPROT | Q07021 |
| Иммуноген | Рекомбинантный белок human GC1q R |
GC1q R Recombinant Rabbit mAb (ARM2468)
Реактивность подтвержденная:
человек
Источник (хозяин):
кролик
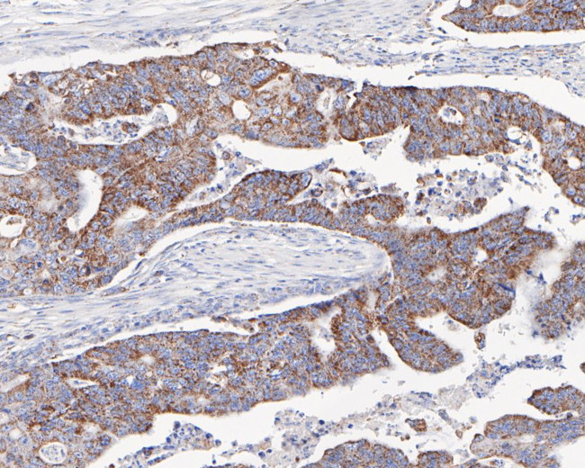
Валидировано для:
FCM
IHC
WB
IF
ICC
Характеристики
Техническое описание
| Каталожный номер | ARM2468 |
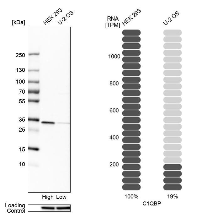
| Название антигена | Hyaluronan Binding Protein 1 (HABP1) |
| UNIPROT | Q07021 |
| Иммуноген | Рекомбинантный белок human GC1q R |
| Английские синонимы | C1QBP, GC1QBP, SF2p32, GC1Q-R, GC1qR, P32, Complement Component 1 Q Subcomponent Binding Protein, Splicing Factor SF2-Associated Protein, ASF/SF2-associated p32 |
Реактивность подтвержденная Нужна другая реактивность? |
человек |
| Источник (хозяин) | кролик |
| Изотип | IgG |
| Клональность | моноклональное |
| Рекомбинантное | да |
| Готовое к использованию | нет |
| Концентрация | 1 мг/мл |
| Конъюгат | По запросу: HRP, biotin, Cy3, Cy5, APC, AF488, AF594, AF405 |
| Валидировано для | FCM IHC WB IF ICC Проточная цитометрия; Иммуногистохимия; Вестерн-блоттинг; Иммунофлуоресценция; Иммуноцитохимия |
| Рекомендуемые разведения | WB 1:500~1:2000; IHC 1:50~1:200; IF/ICC 1:50~1:200; FCM 1:50 |
| Метод очистки | Антигенспецифическая аффинная хроматография |
| Состав буфера | 50 нмоль Tris-Glycine(pH 7.4); 0.15M NaCl; 40% глицерин; 0.01% азид натрия и 0.05% БСА |
| Условия доставки | термобокс с аккумуляторами холода |
| Условия хранения | Сразу после получения аликвотировать и хранить при -20ºС до 12 месяцев с момента получения. Избегать повторения циклов замерзания/оттаивания |
| Срок хранения | 12 месяцев |
| Производитель | AssayVector |
|
Артикул
|
Наименование |
Производитель
|
|---|
|
Артикул
|
Наименование |
Производитель
|
|---|
|
Артикул
|
Наименование |
Производитель
|
|---|
|
Артикул
|
Наименование |
Производитель
|
|---|
|
Артикул
|
Наименование |
Производитель
|
|---|
Акции и предложения
Популярные продукты:
InVivoMAb Anti-Mouse CD275/ICOSLG Antibody (HK5.3) (VMB10201)
Источник (хозяин): крыса
Реактивность подтвержденная: мышь
Валидировано для: ELISA, FuncS
Реактивность подтвержденная: мышь
Валидировано для: ELISA, FuncS
Anti-Gangliosides GT1a Antibody (SAb2352) (RGK07809)
Источник (хозяин): человек
Реактивность подтвержденная: для всех
Валидировано для: DotBlot, ELISA
Реактивность подтвержденная: для всех
Валидировано для: DotBlot, ELISA
Anti-Interleukin 1 Receptor Antagonist (IL1RA) Monoclonal Antibody (FAA223Hu02)
Источник (хозяин): мышь
Реактивность подтвержденная: человек
Валидировано для: FCM
Реактивность подтвержденная: человек
Валидировано для: FCM
Human HSPB1/HSP27 ELISA Kit (KHC10501)
Организм: человек
Диапазон определения: 31.25 - 2,000 пг/мл
Чувствительность: 21.16 пг/мл
Диапазон определения: 31.25 - 2,000 пг/мл
Чувствительность: 21.16 пг/мл
Acyl-CoA Synthetase (ACS) Activity Colorimetric Assay Kit (E-BC-K779-M)
Организм: для всех
Диапазон определения: 0.004 Ед/л
Чувствительность: 0.004-0.107 Ед/л
Диапазон определения: 0.004 Ед/л
Чувствительность: 0.004-0.107 Ед/л
ELISA Kit DIY Materials for Cyclin Dependent Kinase 8 (CDK8) (KSD243Hu01)
Организм: человек
Диапазон определения: 0.312-20 нг/мл
Чувствительность: 0.112 нг/мл
Диапазон определения: 0.312-20 нг/мл
Чувствительность: 0.112 нг/мл

