| UNIPROT | Q9Y2Q3 |
| Иммуноген | Синтетический пептид, соответствующий human Glutathione S Transferase kappa 1 |
Glutathione S Transferase kappa 1 Recombinant Rabbit mAb (ARM1196)
Реактивность подтвержденная:
человек
Источник (хозяин):
кролик
Валидировано для:
IHC
IP
WB
IF
ICC
Характеристики
Техническое описание
| Каталожный номер | ARM1196 |
| Название антигена | Glutathione S Transferase Kappa 1 (GSTk1) |
| UNIPROT | Q9Y2Q3 |
| Иммуноген | Синтетический пептид, соответствующий human Glutathione S Transferase kappa 1 |
| Английские синонимы | GST-K1, GST13, HDCMD47P, Glutathione S-transferase subunit 13 |
Реактивность подтвержденная Нужна другая реактивность? |
человек |
| Источник (хозяин) | кролик |
| Изотип | IgG |
| Клональность | моноклональное |
| Рекомбинантное | да |
| Готовое к использованию | нет |
| Концентрация | 1 мг/мл |
| Конъюгат | По запросу: HRP, biotin, Cy3, Cy5, APC, AF488, AF594, AF405 |
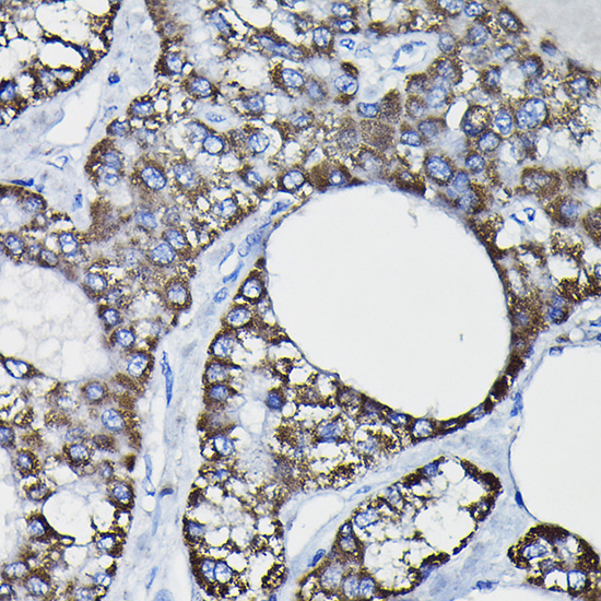
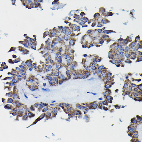
| Валидировано для | IHC IP WB IF ICC Иммуногистохимия; Иммунопреципитация; Вестерн-блоттинг; Иммунофлуоресценция; Иммуноцитохимия |
| Рекомендуемые разведения | WB 1:500~1:2000; IHC 1:50~1:200; IF/ICC 1:50~1:200; IP 1:50 |
| Метод очистки | Антигенспецифическая аффинная хроматография |
| Состав буфера | 50 нмоль Tris-Glycine(pH 7.4); 0.15M NaCl; 40% глицерин; 0.01% азид натрия и 0.05% БСА |
| Условия доставки | термобокс с аккумуляторами холода |
| Условия хранения | Сразу после получения аликвотировать и хранить при -20ºС до 12 месяцев с момента получения. Избегать повторения циклов замерзания/оттаивания |
| Срок хранения | 12 месяцев |
| Производитель | AssayVector |
|
Артикул
|
Наименование |
Производитель
|
|---|
|
Артикул
|
Наименование |
Производитель
|
|---|
|
Артикул
|
Наименование |
Производитель
|
|---|
|
Артикул
|
Наименование |
Производитель
|
|---|
Акции и предложения
Популярные продукты:
Anti-Adenosylhomocysteinase (AHCY) Polyclonal Antibody (FAG465Hu01)
Источник (хозяин): кролик
Реактивность подтвержденная: человек
Валидировано для: FCM
Реактивность подтвержденная: человек
Валидировано для: FCM
ELISA Kit DIY Materials for Transforming Growth Factor Beta Receptor I (TGFbR1) (KSA397Hu01)
Организм: человек
Диапазон определения: 0.312-20 нг/мл
Чувствительность: 0.122 нг/мл
Диапазон определения: 0.312-20 нг/мл
Чувствительность: 0.122 нг/мл
ELISA Kit for Wingless Type MMTV Integration Site Family, Member 16 (WNT16) (SEP121Mu)
Организм: мышь
Диапазон определения: 78-5,000 пг/мл
Чувствительность: 0.060 нг/мл
Диапазон определения: 78-5,000 пг/мл
Чувствительность: 0.060 нг/мл
Chicken Methotrexate ELISA kit (E12M0349)
Организм: курица
Rabbit Sterol carrier protein 2 ELISA kit (E04S0001)
Организм: кролик

