| UNIPROT | P16403 |
| Иммуноген | Синтетический пептид, соответствующий human Histone H1.2 |
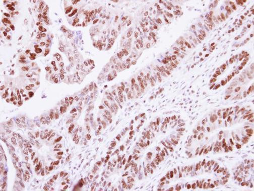
Histone H1.2 Recombinant Rabbit mAb (ARM2025)
Реактивность подтвержденная:
человек, мышь, крыса
Источник (хозяин):
кролик
Валидировано для:
IHC
WB
IF
ICC
Характеристики
Техническое описание
| Каталожный номер | ARM2025 |
| Название антигена | Histone Cluster 1, H1c (HIST1H1C) |
| UNIPROT | P16403 |
| Иммуноген | Синтетический пептид, соответствующий human Histone H1.2 |
| Английские синонимы | H1F2, H1.2, H1 Histone Family Member 2 |
Реактивность подтвержденная Нужна другая реактивность? |
человек, мышь, крыса |
| Источник (хозяин) | кролик |
| Изотип | IgG |
| Клональность | моноклональное |
| Рекомбинантное | да |
| Готовое к использованию | нет |
| Концентрация | 1 мг/мл |
| Конъюгат | По запросу: HRP, biotin, Cy3, Cy5, APC, AF488, AF594, AF405 |
| Валидировано для | IHC WB IF ICC Иммуногистохимия; Вестерн-блоттинг; Иммунофлуоресценция; Иммуноцитохимия |
| Рекомендуемые разведения | WB 1:500~1:2000; IHC 1:50~1:200; IF/ICC 1:50~1:200 |
| Метод очистки | Антигенспецифическая аффинная хроматография |
| Состав буфера | 50 нмоль Tris-Glycine(pH 7.4); 0.15M NaCl; 40% глицерин; 0.01% азид натрия и 0.05% БСА |
| Условия доставки | термобокс с аккумуляторами холода |
| Условия хранения | Сразу после получения аликвотировать и хранить при -20ºС до 12 месяцев с момента получения. Избегать повторения циклов замерзания/оттаивания |
| Срок хранения | 12 месяцев |
| Производитель | AssayVector |
|
Артикул
|
Наименование |
Производитель
|
|---|
|
Артикул
|
Наименование |
Производитель
|
|---|
|
Артикул
|
Наименование |
Производитель
|
|---|
|
Артикул
|
Наименование |
Производитель
|
|---|
Акции и предложения
Популярные продукты:
Goat Prolactin receptor(PRLR) ELISA kit (E06P0866)
Организм: коза
Rat B(0,+)-type amino acid transporter 1 ELISA kit (E02B0970)
Организм: крыса
Multiplex Assay Kit for Solute Carrier Family 7, Member 9 (SLC7A9) (LME419Hu)
Организм: человек
Диапазон определения: 0.1-100 нг/мл
Чувствительность: 0.033 нг/мл
Диапазон определения: 0.1-100 нг/мл
Чувствительность: 0.033 нг/мл
ELISA Kit DIY Materials for Nestin (NES) (KSA500Ra01)
Организм: крыса
Диапазон определения: 0.156-10 нг/мл
Чувствительность: 0.055 нг/мл
Диапазон определения: 0.156-10 нг/мл
Чувствительность: 0.055 нг/мл
ELISA Kit DIY Materials for RAB5A, Member RAS Oncogene Family (RAB5A) (KSK305Hu01)
Организм: человек
Диапазон определения: 0.312-20 нг/мл
Чувствительность: 0.113 нг/мл
Диапазон определения: 0.312-20 нг/мл
Чувствительность: 0.113 нг/мл

