| UNIPROT | P08238 |
| Иммуноген | Очищенный фрагмент рекомбинантного белка human HSP90AB1 экспрессированный в E. Coli |
HSP90AB1 Antibody (BF0215)
Реактивность подтвержденная:
человек, мышь, крыса, обезьяна
Источник (хозяин):
мышь
Валидировано для:
ELISA
FCM
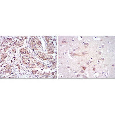
IHC
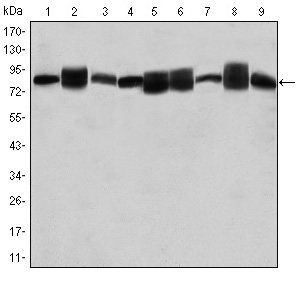
WB
IF
ICC
Характеристики
Техническое описание
| Каталожный номер | BF0215 |
| Название антигена | Heat Shock Protein 90kDa Alpha B1 (HSP90aB1) |
| UNIPROT | P08238 |
| Иммуноген | Очищенный фрагмент рекомбинантного белка human HSP90AB1 экспрессированный в E. Coli |
| Английские синонимы | HSP90-BETA, HSP90B, HSPC2, HSPCB, HSP84, Heat Shock 90kD Protein 1,Beta, Heat shock 84 kDa |
Реактивность подтвержденная Нужна другая реактивность? |
человек, мышь, крыса, обезьяна |
| Источник (хозяин) | мышь |
| Изотип | IgG1 |
| Клональность | моноклональное |
| Клон | AFB1899 |
| Рекомбинантное | нет |
| Готовое к использованию | нет |
| Концентрация | 1 мг/мл |
| Конъюгат | нет |
| Валидировано для | ELISA FCM IHC WB IF ICC Иммуноферментный анализ; Проточная цитометрия; Иммуногистохимия; Вестерн-блоттинг; Иммунофлуоресценция; Иммуноцитохимия |
| Рекомендуемые разведения | ELISA: 1:10000; WB: 1:500-1:2000; IHC: 1:200-1:1000; IF/ICC: 1:200-1:1000; FCM: 1:200-1:400; Оптимальное разведение определяется конечным потребителем |
| Метод очистки | Аффинная хроматография |
| Состав буфера | Mouse IgG1 в PBS (без Mg2+ и Ca2+); pH 7.4; 150mM NaCl; 0.02% азид натрия и 50% глицерин |
| RRID | AB_2833923 |
| Условия доставки | Термобокс с аккумуляторами холода |
| Условия хранения | Хранить при -20ºС. Стабилен 12 месяцев с даты получения |
| Срок хранения | 12 месяцев |
| Производитель | Affinity |
| Ссылка на страницу товара на сайте производителя | https://www.affbiotech.com/goods-665-BF0215-HSP90AB1_Antibody.html |
|
Артикул
|
Наименование |
Производитель
|
|---|
|
Артикул
|
Наименование |
Производитель
|
|---|
|
Артикул
|
Наименование |
Производитель
|
|---|
|
Артикул
|
Наименование |
Производитель
|
|---|
|
Артикул
|
Наименование |
Производитель
|
|---|
|
Артикул
|
Наименование |
Производитель
|
|---|
Акции и предложения
Популярные продукты:
Anti-Human CD138/SDC1 Antibody (Fs0318), PE (FHD30833)
Источник (хозяин): мышь
Реактивность подтвержденная: человек
Валидировано для: ELISA, FCM, IF, WB
Реактивность подтвержденная: человек
Валидировано для: ELISA, FCM, IF, WB
Porcine Borealin(CDCA8) ELISA kit (E07B0884)
Организм: свинья
Chicken Annexin A11(ANXA11) ELISA kit (E12A1543)
Организм: курица
Bovine Annexin A11(ANXA11) ELISA kit (E11A1543)
Организм: корова
Canine Annexin A11(ANXA11) ELISA kit (E08A1543)
Организм: собака
Goat Annexin A11(ANXA11) ELISA kit (E06A1543)
Организм: коза

