| UNIPROT | P17275 |
| Иммуноген | Синтетический пептид, соответствующий human JunB |
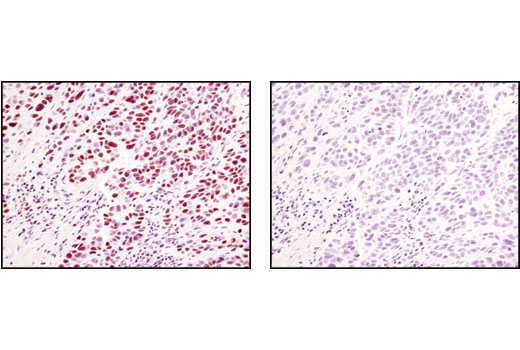
JunB Recombinant Rabbit mAb (ARM2661)
Реактивность подтвержденная:
человек, мышь, крыса
Источник (хозяин):
кролик
Валидировано для:
IP
WB
IF
ICC
Характеристики
Техническое описание
| Каталожный номер | ARM2661 |
| Название антигена | Jun B Proto Oncogene (JUNB) |
| UNIPROT | P17275 |
| Иммуноген | Синтетический пептид, соответствующий human JunB |
Реактивность подтвержденная Нужна другая реактивность? |
человек, мышь, крыса |
| Источник (хозяин) | кролик |
| Изотип | IgG |
| Клональность | моноклональное |
| Рекомбинантное | да |
| Готовое к использованию | нет |
| Концентрация | 1 мг/мл |
| Конъюгат | По запросу: HRP, biotin, Cy3, Cy5, APC, AF488, AF594, AF405 |
| Валидировано для | IP WB IF ICC Иммунопреципитация; Вестерн-блоттинг; Иммунофлуоресценция; Иммуноцитохимия |
| Рекомендуемые разведения | WB 1:500~1:2000; IF/ICC 1:50~1:200; IP 1:50 |
| Метод очистки | Антигенспецифическая аффинная хроматография |
| Состав буфера | 50 нмоль Tris-Glycine(pH 7.4); 0.15M NaCl; 40% глицерин; 0.01% азид натрия и 0.05% БСА |
| Условия доставки | термобокс с аккумуляторами холода |
| Условия хранения | Сразу после получения аликвотировать и хранить при -20ºС до 12 месяцев с момента получения. Избегать повторения циклов замерзания/оттаивания |
| Срок хранения | 12 месяцев |
| Производитель | AssayVector |
|
Артикул
|
Наименование |
Производитель
|
|---|
|
Артикул
|
Наименование |
Производитель
|
|---|
Акции и предложения
Популярные продукты:
Guinea Pig Armadillo repeat containing protein 1(ARMC1) ELISA kit (E05A1078)
Организм: морская свинка
Monkey Actin related protein T2(ACTRT2) ELISA kit (E09A0996)
Организм: обезьяна
Guinea Pig Cadherin 19(CDH19) ELISA kit (E05C1540)
Организм: морская свинка
Bovine Calsequestrin 2(CASQ2) ELISA kit (E11C1395)
Организм: корова
Porcine G protein coupled receptor 4(GPR4) ELISA kit (E07G0439)
Организм: свинья
Rat Ataxin 10(ATXN10) ELISA kit (E02A1767)
Организм: крыса

