| UNIPROT | Q8N423 |
| Иммуноген | Синтетический пептид, соответствующий human LILRB2 во внутренней части белка |
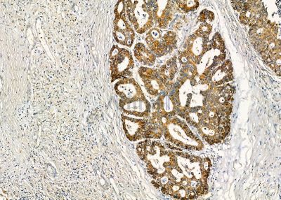
LILRB2 Antibody (DF9604)
Реактивность подтвержденная:
человек, мышь, крыса
Источник (хозяин):
кролик
Валидировано для:
IHC
WB
Характеристики
Техническое описание
| Каталожный номер | DF9604 |
| Название антигена | Leukocyte Immunoglobulin Like Receptor Subfamily B, Member 2 (LILRB2) |
| UNIPROT | Q8N423 |
| Иммуноген | Синтетический пептид, соответствующий human LILRB2 во внутренней части белка |
| Английские синонимы | CD85d, CD 85d, CD-85d, LILR-B2, ILT4, LIR-2, LIR2, MIR10, CD85 antigen-like family member D, Immunoglobulin-like transcript 4, Monocyte/macrophage immunoglobulin-like receptor 10 |
Реактивность подтвержденная Нужна другая реактивность? |
человек, мышь, крыса |
| Источник (хозяин) | кролик |
| Изотип | IgG |
| Клональность | поликлональное |
| Рекомбинантное | нет |
| Готовое к использованию | нет |
| Концентрация | 1 мг/мл |
| Конъюгат | нет |
| Валидировано для | IHC WB Иммуногистохимия; Вестерн-блоттинг |
| Рекомендуемые разведения | WB: 1:1000-3000; IHC: 1:50-1:200; Оптимальное разведение определяется конечным потребителем |
| Метод очистки | Антисыворотку очищали методом аффинной хроматографии пептидов с использованием связывающей смолы SulfoLink® (Thermo Fisher Scientific) |
| Состав буфера | Rabbit IgG в PBS; pH 7.4; 150mM NaCl; 0.02% азид натрия и 50% глицерин |
| RRID | AB_2842800 |
| Условия доставки | Термобокс с аккумуляторами холода |
| Условия хранения | Хранить при -20ºС. Стабилен 12 месяцев с даты получения |
| Срок хранения | 12 месяцев |
| Производитель | Affinity |
| Ссылка на страницу товара на сайте производителя | https://www.affbiotech.com/goods-13077-DF9604-LILRB2_Antibody.html |
|
Артикул
|
Наименование |
Производитель
|
|---|
Акции и предложения
Популярные продукты:
ELISA Kit DIY Materials for Interleukin 22 Receptor Alpha 2 (IL22Ra2) (KSE767Mu01)
Организм: мышь
Диапазон определения: 3.12-200 нг/мл
Чувствительность: 1.17 нг/мл
Диапазон определения: 3.12-200 нг/мл
Чувствительность: 1.17 нг/мл
Sheep Visual system homeobox 1(VSX1) ELISA kit (E14V0077)
Организм: овца
Sheep Borealin(CDCA8) ELISA kit (E14B0884)
Организм: овца
Chicken Borealin(CDCA8) ELISA kit (E12B0884)
Организм: курица
Goat Borealin(CDCA8) ELISA kit (E06B0884)
Организм: коза
Rat Maspin(serpin B5) ELISA kit (E02M0026)
Организм: крыса

