| UNIPROT | P19838 |
| Иммуноген | Очищенный фрагмент рекомбинантного белка human NFKB1 экспрессированный в E. Coli |
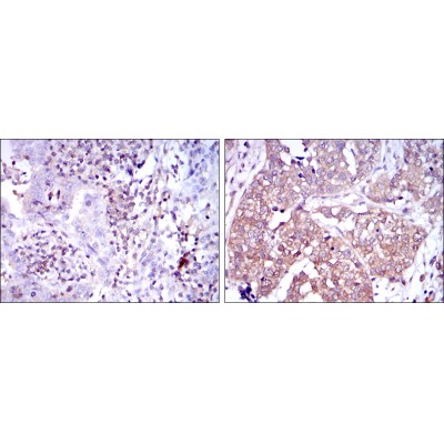
NFKB1 Antibody (BF0466)
Реактивность подтвержденная:
человек
Источник (хозяин):
мышь
Валидировано для:
ELISA
FCM
IHC
WB
IF
ICC
Характеристики
Техническое описание
| Каталожный номер | BF0466 |
| Название антигена | Nuclear Factor Kappa B (NFkB) |
| UNIPROT | P19838 |
| Иммуноген | Очищенный фрагмент рекомбинантного белка human NFKB1 экспрессированный в E. Coli |
| Английские синонимы | NF-KB1, EBP-1, KBF1, NF-Kappa-B, NFKB-P105, NFKB-P50, Nuclear Factor Of Kappa Light Polypeptide Gene Enhancer In B-Cells 1, Nuclear factor NF-kappa-B p105 subunit |
Реактивность подтвержденная Нужна другая реактивность? |
человек |
| Источник (хозяин) | мышь |
| Изотип | IgG1 |
| Клональность | моноклональное |
| Клон | AFB1904 |
| Рекомбинантное | нет |
| Готовое к использованию | нет |
| Концентрация | 1 мг/мл |
| Конъюгат | нет |
| Валидировано для | ELISA FCM IHC WB IF ICC Иммуноферментный анализ; Проточная цитометрия; Иммуногистохимия; Вестерн-блоттинг; Иммунофлуоресценция; Иммуноцитохимия |
| Рекомендуемые разведения | ELISA: 1:10000; WB: 1:500-1:2000; IHC: 1:200-1:1000; IF/ICC: 1:200-1:1000; FCM: 1:200-1:400; Оптимальное разведение определяется конечным потребителем |
| Метод очистки | Аффинная хроматография |
| Состав буфера | Mouse IgG1 в PBS (без Mg2+ и Ca2+); pH 7.4; 150mM NaCl; 0.02% азид натрия и 50% глицерин |
| RRID | AB_2833928 |
| Условия доставки | Термобокс с аккумуляторами холода |
| Условия хранения | Хранить при -20ºС. Стабилен 12 месяцев с даты получения |
| Срок хранения | 12 месяцев |
| Производитель | Affinity |
| Ссылка на страницу товара на сайте производителя | https://www.affbiotech.com/goods-670-BF0466-NFKB1_Antibody.html |
|
Артикул
|
Наименование |
Производитель
|
|---|
|
Артикул
|
Наименование |
Производитель
|
|---|
|
Артикул
|
Наименование |
Производитель
|
|---|
|
Артикул
|
Наименование |
Производитель
|
|---|
|
Артикул
|
Наименование |
Производитель
|
|---|
|
Артикул
|
Наименование |
Производитель
|
|---|
|
Артикул
|
Наименование |
Производитель
|
|---|
|
Артикул
|
Наименование |
Производитель
|
|---|
Акции и предложения
Популярные продукты:
ELISA Kit DIY Materials for Nucleosome Assembly Protein 1 Like Protein 1 (NAP1L1) (KSH571Hu01)
Организм: человек
Диапазон определения: 0.312-20 нг/мл
Чувствительность: 0.119 нг/мл
Диапазон определения: 0.312-20 нг/мл
Чувствительность: 0.119 нг/мл
Human Cystatin SN(CST1) ELISA kit (E01C2119)
Организм: человек
Диапазон определения: 2.5-50 нг/мл
Чувствительность: 0.1 нг/мл
Диапазон определения: 2.5-50 нг/мл
Чувствительность: 0.1 нг/мл
Sheep Apolipoprotein L2(APOL2) ELISA kit (E14A1600)
Организм: овца
Chicken Apolipoprotein L2(APOL2) ELISA kit (E12A1600)
Организм: курица
Canine Apolipoprotein L2(APOL2) ELISA kit (E08A1600)
Организм: собака
Goat Apolipoprotein L2(APOL2) ELISA kit (E06A1600)
Организм: коза

