| UNIPROT | O75694 |
| Иммуноген | Рекомбинантный белок human NUP155 |
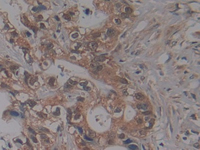
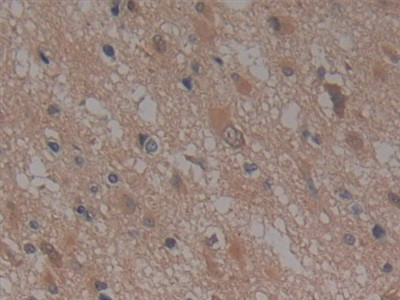
NUP155 Recombinant Rabbit mAb (ARM2246)
Реактивность подтвержденная:
человек
Источник (хозяин):
кролик
Валидировано для:
FCM
WB
IF
ICC
Характеристики
Техническое описание
| Каталожный номер | ARM2246 |
| Название антигена | Nucleoporin 155kDa (NUP155) |
| UNIPROT | O75694 |
| Иммуноген | Рекомбинантный белок human NUP155 |
| Английские синонимы | N155 |
Реактивность подтвержденная Нужна другая реактивность? |
человек |
| Источник (хозяин) | кролик |
| Изотип | IgG |
| Клональность | моноклональное |
| Рекомбинантное | да |
| Готовое к использованию | нет |
| Концентрация | 1 мг/мл |
| Конъюгат | По запросу: HRP, biotin, Cy3, Cy5, APC, AF488, AF594, AF405 |
| Валидировано для | FCM WB IF ICC Проточная цитометрия; Вестерн-блоттинг; Иммунофлуоресценция; Иммуноцитохимия |
| Рекомендуемые разведения | WB 1:500~1:2000; IF/ICC 1:50~1:200; FCM 1:50 |
| Метод очистки | Антигенспецифическая аффинная хроматография |
| Состав буфера | 50 нмоль Tris-Glycine(pH 7.4); 0.15M NaCl; 40% глицерин; 0.01% азид натрия и 0.05% БСА |
| Условия доставки | термобокс с аккумуляторами холода |
| Условия хранения | Сразу после получения аликвотировать и хранить при -20ºС до 12 месяцев с момента получения. Избегать повторения циклов замерзания/оттаивания |
| Срок хранения | 12 месяцев |
| Производитель | AssayVector |
|
Артикул
|
Наименование |
Производитель
|
|---|
|
Артикул
|
Наименование |
Производитель
|
|---|
|
Артикул
|
Наименование |
Производитель
|
|---|
Акции и предложения
Популярные продукты:
Monkey Methylcytosine Dioxygenase TET1 ELISA Kit (E09T0868)
Организм: обезьяна
Mouse Cingulin(CGN) ELISA kit (E03C1644)
Организм: мышь
Porcine Cystatin SA(CST2) ELISA kit (E07C2121)
Организм: свинья
Rat Retinoic Acid Early Transcript 1G ELISA kit (E02R0122)
Организм: крыса

