| UNIPROT | F1M3S1 |
| Иммуноген | RPB432Ra01-Recombinant Immunoglobulin Superfamily, Member 2 (IGSF2) |
Polyclonal Antibody to Immunoglobulin Superfamily, Member 2 (IGSF2) (PAB432Ra01)
Реактивность подтвержденная:
крыса
Источник (хозяин):
кролик
Валидировано для:
IHC
Характеристики
Техническое описание
| Русское название | PAB432Ra01 Поликлональное антитело к IGSF2 (крыса) <Cloud-Clone,Китай> |
| Каталожный номер | PAB432Ra01 |
| Название антигена | Immunoglobulin Superfamily, Member 2 (IGSF2) |
| UNIPROT | F1M3S1 |
| Иммуноген | RPB432Ra01-Recombinant Immunoglobulin Superfamily, Member 2 (IGSF2) |
| Английские синонимы | CD101, CD 101, CD-101, V7, EWI-101, Cell surface glycoprotein V7, Glu-Trp-Ile EWI motif-containing protein 101 |
Реактивность подтвержденная Нужна другая реактивность? |
крыса |
| Источник (хозяин) | кролик |
| Клональность | поликлональное |
| Рекомбинантное | нет |
| Готовое к использованию | нет |
| Концентрация | 500 мкг/мл |
| Конъюгат | По запросу: HRP, biotin, PerCP, PE, Cy3, FITC, Cy7, Cy5.5, PE-Cy5, PE-Cy7, PerCp-Cy5.5, APC, Cy5, PE-Cy3, PE-Cy5.5, APC-Cy7, Biotin-APC, FITC-Biotin, TRITC, APC-Cy5, AF488, AF594, AF405, AF555, AF700, AF647, AF750 |
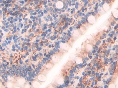
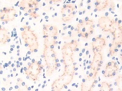
| Валидировано для | IHC Иммуногистохимия |
| Рекомендуемые разведения | WB: 0.2-2 мкг/мл; 1:250-2500; IHC: 5-20 мкг/мл; 1:25-100; ICC: 5-20 мкг/мл; 1:25-100; Оптимальное разведение определяется конечным потребителем |
| Метод очистки | Антигенспецифическая аффинная хроматография с последующей аффинной хроматографией с белком А |
| Состав буфера | 0.01M PBS, pH7.4, 0.05% Proclin-300, 50% глицерин |
| Условия доставки | термобокс с аккумуляторами холода |
| Условия хранения | Сразу после получения аликвотировать и хранить при -20ºС до 24 месяцев. Для частого использования хранить при +4ºС не более 2 недель. Избегать повторения циклов замерзания/оттаивания |
| Срок хранения | 24 месяца |
| Производитель | Cloud-Clone Corp. |
| Ссылка на страницу товара на сайте производителя | http://www.cloud-clone.com/products/PAB432Ra01.html |
|
Артикул
|
Наименование |
Производитель
|
|---|
|
Артикул
|
Наименование |
Производитель
|
|---|
Акции и предложения
Популярные продукты:
Bovine Valproic Acid ELISA kit (E11V0432)
Организм: корова
Porcine Activated CDC42 kinase 1(TNK2) ELISA kit (E07A2011)
Организм: свинья
Bovine Glucocorticoid Induced Tumor Necrosis Factor Receptor ELISA Kit (E11G0586)
Организм: корова
Диапазон определения: 2.5-50 нг/мл
Диапазон определения: 2.5-50 нг/мл
Porcine Glutathione Peroxidase 1 ELISA kit (E07G0234)
Организм: свинья
Диапазон определения: 5-100 нг/мл
Чувствительность: 1 нг/мл
Диапазон определения: 5-100 нг/мл
Чувствительность: 1 нг/мл
Recombinant Human CNPY4 Protein (His Tag) (PKSH030652)
Источник (хозяин): HEK293
Организм: человек
Фрагмент: Met 1-Leu248
Теги: C-His
Биоактивность: нет
Организм: человек
Фрагмент: Met 1-Leu248
Теги: C-His
Биоактивность: нет

